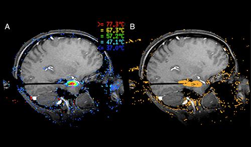
Innovative technologies and alternatives to traditional treatments are transforming the diagnosis and management of neurological conditions. In 2025, NewYork-Presbyterian physicians and surgeons from Columbia and Weill Cornell Medicine used sonication and convection-enhanced delivery to penetrate the blood-brain barrier, validated an adjunctive treatment for subdural hematoma, broadened access to spine surgery, advanced experimental therapies for neurodegenerative diseases, and more. Our specialists have been steadfast in reshaping the fields of neurology and neurosurgery in the pursuit of better patient outcomes and enhanced quality of care.
From cutting-edge research to compassionate patient practice, neurologists and neurosurgeons from Columbia and Weill Cornell Medicine are at the forefront of developing and applying the most advanced approaches to treat debilitating conditions affecting the brain and spine. With a broad range of focus on neurodegenerative and neurovascular disorders to malignant tumors, our innovative and advanced care is leading to new treatment options and enabling patients to achieve the best possible outcomes.
Neurology & Neurosurgery
Featured Updates
The JAMA study examined trends in mitral valve repair and replacement and explained the benefits of undergoing repair at a high-volume center.
The Latest













