Innovations in Review 2025

Neurology & Neurosurgery

Innovative technologies and alternatives to traditional treatments are transforming the diagnosis and management of neurological conditions. In 2025, NewYork-Presbyterian physicians and surgeons from Columbia and Weill Cornell Medicine used sonication and convection-enhanced delivery to penetrate the blood-brain barrier, validated an adjunctive treatment for subdural hematoma, broadened access to spine surgery, advanced experimental therapies for neurodegenerative diseases, and more. Our specialists have been steadfast in reshaping the fields of neurology and neurosurgery in the pursuit of better patient outcomes and enhanced quality of care.

Neurology and Neurosurgery
Neurology and Neurosurgery

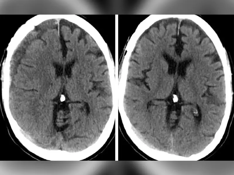
NEJM Study Highlights MMA Embolization Effectiveness For Subdural Hematomas

Subdural hematomas are common, and, by 2030, surgical evacuation for this condition is expected to be the most prevalent cranial neurosurgical procedure. The EMBOLISE (Embolization of the Middle Meningeal Artery With ONYX™ Liquid Embolic System in the Treatment of Subacute and Chronic Subdural Hematoma) study highlights the effectiveness of adjunctive middle meningeal artery (MMA) embolization in treating subdural hematomas. This multicenter trial was led by Jared Knopman, M.D., director of cerebrovascular surgery and interventional neuroradiology at NewYork-Presbyterian and Weill Cornell Medicine, who has been a pioneer of the procedure. Results demonstrated that the combined procedure significantly reduced the risk of hematoma recurrence or progression requiring reoperation compared to surgical evacuation alone. These findings point to adjunctive MMA embolization as a potential new standard of care for patients with subdural hematomas requiring surgical intervention.

Nejm Study Highlights Mma Embolization Effectiveness For Subdural Hematomas

MVD: The Promise Of Long-Term Pain Relief For Trigeminal Neuralgia

Often misdiagnosed, trigeminal neuralgia (TN) is a rare neurological condition that can trigger debilitating attacks of facial pain. Raymond F. Sekula, Jr., M.D., director of the Facial Pain and Spasm Center at NewYork-Presbyterian and Columbia, created a scoring system that assigns points to certain factors to help identify patients who are most likely to benefit from microvascular decompression (MVD) as a treatment for TN. This innovative tool and other less invasive techniques Dr. Sekula has helped pioneer are making MVD safer and helping patients overcome barriers to receiving surgical treatment.

MVD: The Promise Of Long-Term Pain Relief For Trigeminal Neuralgia

Upright PET Scanner Will Advance Early Alzheimer’s Detection

A team of physicians and researchers, led by Gloria Chiang, M.D., a neuroradiologist at NewYork-Presbyterian and director of the Brain Health Imaging Institute at Weill Cornell Medicine, and Amir H. Goldan, Ph.D., director of the X-ray and Emission Imaging Lab at Weill Cornell Medicine, are developing and analyzing the effectiveness of a novel portable brain PET scanner that can help make Alzheimer’s disease testing more accessible. The scanner images the smallest regions of the brain where tau proteins accumulate during the early stages of Alzheimer’s disease and is capable of imaging the brain in both supine and upright positions, detecting tau accumulations even before cognitive symptoms appear — all at the highest resolution achieved to date. This technology will expand the depth and breadth of early detection; increase access and help optimize management of Alzheimer’s; and potentially delay or prevent development of the disease.

Upright PET Scanner Will Advance Early Alzheimer’s Detection

Experimental Gene Therapy May Treat Aggressive Form Of ALS

In 1% to 2% of all amyotrophic lateral sclerosis (ALS) cases, a fused in sarcoma (FUS) gene variant leads to the accumulation of toxic FUS proteins in motor neurons, ultimately resulting in neuronal death. This rare and aggressive form of ALS, which can begin in adolescents and young adults, currently lacks an approved treatment. A new 12-patient case series published by Neil Shneider, M.D., Ph.D., a neurologist at NewYork-Presbyterian and Columbia, suggests that ulefnersen, a novel experimental antisense oligonucleotide (ASO), may prevent or delay onset of FUS-ALS. Two patients showed remarkable responses: One had a family history of the disease and was expected to become symptomatic but remained asymptomatic after three years of treatment, while the other regained the abilities to walk unaided and breathe without a ventilator. These outcomes have paved the way for a phase 3 clinical trial, with hopes that it will lead to FDA approval of the ASO.

Experimental Gene Therapy May Treat Aggressive Form Of ALS

Novel Treatment Method Can Address Aggressive Pediatric Brain Tumor

Diffuse intrinsic pontine glioma (DIPG) is an aggressive and fatal pediatric brain tumor with a survival rate of less than 10% two years after diagnosis, and treatment remains difficult due to how quickly it spreads and the ongoing challenge of permeating the blood-brain barrier (BBB). A phase 1 clinical trial led by Mark Souweidane, M.D., director of pediatric neurological surgery at NewYork-Presbyterian and Weill Cornell Medicine, demonstrated the efficacy of convection-enhanced delivery (CED) in administering treatment past the BBB. CED was able to safely infuse 124I-omburtamab, a radio-labeled monoclonal antibody, directly into the brainstem, where DIPG typically starts, offering hope that long-term survival for patients may be possible.

Novel Treatment Method Can Address Aggressive Pediatric Brain Tumor

Sleep Spindles Could Be An Indicator Of Hidden Consciousness

Patients with cognitive motor dissociation (CMD), also known as hidden consciousness, appear unresponsive while in a coma or vegetative state but exhibit brain activation in response to motor commands, similar to conscious patients. However, accurately identifying traces of consciousness can be technically challenging. Research led by Jan Claassen, M.D., chief of critical care and hospitalist neurology at NewYork-Presbyterian and Columbia, revealed that sleep spindles, brief bursts of brainwave activity that occur during non-rapid eye movement sleep, may hold the key to predicting which patients have CMD and, therefore, a better chance of regaining consciousness and eventual function. Sleep spindles were detected in EEG recordings and often predicted recovery of consciousness when the patient underwent further testing. These findings could help families make more informed treatment decisions. Future research aims to identify additional methods for detecting potential consciousness in patients with CMD.

Sleep Spindles Could Be An Indicator Of Hidden Consciousness

Advancing Lasting Biological Solutions for Degenerative Disc Disease

Roger Härtl, M.D., co-director of Och Spine at NewYork-Presbyterian and neurosurgical director of spine surgery at Weill Cornell Medicine, is pioneering research that could lead to one-time treatment options for degenerative disc diseases. His work involves investigating the application of biologic and stem cell therapies for the regeneration, repair, and replacement of intervertebral discs. These innovative techniques have the potential to address prevalent and enduring challenges in spine surgery, such as disc reherniation, chronic lower back pain, and the necessity for revision procedures following corrective surgery.

Advancing Lasting Biological Solutions For Degenerative Disc Disease

Awake Spine Surgery Designed For Anesthesia-Intolerant Patients

Certain patient populations, such as elderly patients and those with cardiac comorbidities, are unable to tolerate general anesthesia, but awake spine surgery provides a new option for minimally invasive spine procedures. Andrew K. Chan, M.D., a neurological spine surgeon and director of minimally invasive scoliosis surgery at Och Spine at NewYork-Presbyterian and Columbia, has performed several successful awake spine surgeries using a combination of spinal and local anesthesia. Through this innovative approach, surgeons are able to perform a range of procedures that take less than three hours without general anesthesia. The potential benefits include a faster recovery as well as a lower risk of cognitive side effects and cardiopulmonary complications, creating more surgical options for patients with spine conditions.

Awake Spine Surgery Designed For Anesthesia-Intolerant Patients

New Trial Device Opens Blood-Brain Barrier To Treat Glioblastoma

Bypassing the blood-brain barrier (BBB) remains an obstacle to treating glioblastoma. Brian Gill, M.D., a neurosurgeon at NewYork-Presbyterian and Columbia, began recruiting patients last year as the site investigator for a pivotal, multicenter phase 3 clinical trial assessing the efficacy of a novel device to address this challenge. The device is surgically implanted after tumor resection and uses sonication (focused ultrasound along with an intravenous infusion of microbubbles) to temporarily disrupt the BBB and allow carboplatin to reach the tumor bed directly. This technology has the potential to enhance quality of life for patients with recurrent glioblastoma and could change the standard of care.

New Trial Device Opens Blood-Brain Barrier To Treat Glioblastoma

Detecting Parkinson’s Disease Sooner with Biomarker Research

For more than 30 years, Serge Przedborski, M.D., Ph.D., chief of the Division of Movement Disorders at NewYork-Presbyterian and Columbia, has conducted research on the patterns of neuronal death in the brain linked to Parkinson’s disease. On the Advances in Care podcast, Dr. Przedborski shared insights from his mapping of the brain and discussed biomarkers that could predict the risk of developing Parkinson’s. The goal of this research is to identify new treatments that can address not only the symptoms of the disease but also its root cause.

Detecting Parkinson’s Disease Sooner With Biomarker Research