Neurology & Neurosurgery

NEJM Study Highlights MMA Embolization's Effectiveness for Subdural Hematomas

    • Among patients with subdural hematomas, the combination of middle meningeal artery embolization (MMA) plus surgery had a lower risk of hematoma recurrence or progression resulting in reoperation, compared with surgery alone (4.1% vs. 11.3%).
    • The risk of deterioration of neurologic function was similar whether patients underwent MMA plus surgery or surgery alone.
    • The findings point to adjunctive MMA embolization as a new standard of care for patients with subdural hematoma who have an indication for surgery.

    New results from the EMBOLISE randomized, multi-center study led by Jared Knopman, MD, director of cerebrovascular surgery and interventional neuroradiology at NewYork-Presbyterian and Weill Cornell Medicine, demonstrate the effectiveness of adding middle meningeal artery (MMA) embolization to standard surgical evacuation for patients with subacute and chronic subdural hematomas.

    Subdural hematomas are common, especially as the population ages, and surgical evacuation for this indication is expected to be the most common cranial neurosurgical procedure by 2030. But subdural hematomas frequently recur (approximately 20% of the time), leading to reoperations that can be risky for older patients and those with comorbidities. Looking for a more durable approach, Dr. Knopman pioneered the use of MMA embolization worldwide and became the first physician to perform the procedure as a first-line alternative to open surgery for patients with subdural hematomas in 2017. 

    In the current study, Dr. Knopman, the co-principal investigator of the EMBOLISE (Embolization of the Middle Meningeal Artery With ONYX™ Liquid Embolic System In the Treatment of Subacute and Chronic Subdural Hematoma) trial, and other researchers evaluated whether MMA embolization, performed as an adjunct to either burr holes or craniotomy, would reduce the risk for reoperation compared with standard surgery alone. The findings were recently published in The New England Journal of Medicine. 

    Below, Dr. Knopman shares the evolution of MMA embolization, the key findings from study, and what research questions remain about the treatment of subdural hematomas.

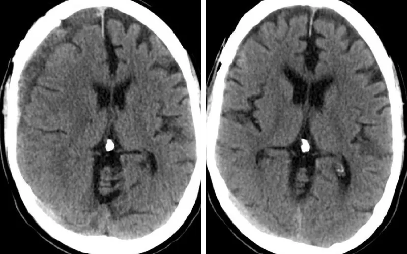
    Subdural hematoma

    (L) Right subacute subdural hematoma; (R) Resolution of subdural hematoma after MMA embolization.

    The Evolution of MMA Embolization

    We have been treating subdural hematomas the same way for a century and for most of that time we thought the cause was venous in origin. I had personally been operating on subdural hematomas for several years when I started to consider why patients had evidence of mixed acuity blood – both old and new bleeds – when the trauma that led to their subdural hematoma was already months old. That new blood must be fed by an artery, and the likely culprit was the nearby middle meningeal artery. That knowledge propelled me to explore this theory further and establish the efficacy of MMA embolization. Over the last seven years, I have performed more than 500 MMA embolization procedures, allowing more than 90% of patients to avoid repeat surgery.

    EMBOLISE Trial Design

    The EMBOLISE trial was born out of the original pioneering work on MMA embolization that we did at NewYork-Presbyterian and Weill Cornell Medicine. Through this multicenter, adaptive-design trial, we sought to test the efficacy of this new approach in a rigorous, randomized fashion. The first part of the trial included 400 patients with subacute or chronic subdural hematomas who had an indication for surgical evacuation. Patients were randomized to the treatment group, where they received MMA embolization plus surgery, or the control group of surgery alone.

    These findings point to adjunctive MMA embolization as a new standard of care for patients with subdural hematoma who have an indication for surgery.

    — Dr. Jared Knopman

    Key Findings

    The trial confirmed our own center’s experience over the last seven years, demonstrating a three-fold decrease in hematoma recurrence or progression leading to repeat surgery when patients received adjunctive MMA embolization. Specifically:

    • Those who received MMA plus surgery had a lower risk of hematoma recurrence or progression resulting in reoperation, compared with surgery alone (4.1% vs. 11.3%).
    • The risk of deterioration of neurologic function was similar in the two arms, 11.9% for the treatment arm (MMA embolization plus surgery) and 9.8% in the control arm (surgery). 

    These findings point to adjunctive MMA embolization as a new standard of care for patients with subdural hematoma who have an indication for surgery. These are older, frail patients, so anything we can do to keep them out of the operating room and prevent recurrences goes a long way towards protecting their quality of life and decreasing secondary complications.

    Next Steps

    The second part of the trial examines the efficacy of MMA embolization alone in the treatment of patients with subdural hematomas that are not as large and symptomatic. We enrolled about 200 patients who were randomized to either an observation arm or treatment with MMA embolization to evaluate whether MMA embolization is effective at preventing hematoma growth and the subsequent need for surgery. We have recently completed this part of the trial and are currently analyzing the data. If positive, these findings will provide confirmation of the potential for MMA embolization as a prophylactic treatment in subdural hematomas, providing evidence for its application in nearly all patients with subacute and chronic subdural hematomas.

      Learn More

      Davies JM, Knopman J, Mokin M, et al. Adjunctive Middle Meningeal Artery Embolization for Subdural Hematoma. New England Journal of Medicine. 2024 Nov 21;391(20):1890-1900. doi:10.1056/NEJMoa2313472 

      Propelling MMA Embolization to First Line Treatment for Chronic Subdural Hematoma

      For more information

      Dr. Jared Knopman
      Dr. Jared Knopman
      [email protected]

      Stay up to date with the Advances newsletter

      Get the latest groundbreaking research and advancements in medicine delivered to your inbox.

      Sign Up