Since mid-2019, providers working on the front lines in pediatric emergency rooms across the United States have experienced a surge of cases involving adolescents and young adults with vague inflammatory symptoms affecting the respiratory and gastrointestinal systems. Without intervention or prompt removal of the trigger, systemic inflammatory reaction affecting multiple organ systems can result. Inconclusive clinical symptomatology, laboratory findings, and radiologic features can mimic both infectious and noninfectious conditions making efforts to establish a diagnosis extremely challenging.
Before the onset of the COVID-19 pandemic, there was a sharp rise in hospitalizations and deaths related to e-cigarette or vaping product use-associated lung injury (EVALI), with half of the reported 2,800 cases nationwide occurring in patients ages 13 to 24 years old. By March 2020, coronavirus was giving rise to a new condition known as COVID-19-associated multisystem inflammatory syndrome in children (MIS-C). With recent changes extending the definition of MIS-C to include adults older than 21 years, overlapping subjective and objective data confound efforts to diagnose and properly manage new cases.
A team of physicians in pediatrics, emergency medicine, and pulmonary medicine from NewYork-Presbyterian Queens and Weill Cornell Medicine collaborated on an article to raise physician awareness of the conflicting presentations surrounding EVALI and MIS-C to improve assessment, diagnosis, and management. The authors highlight three detailed case reports and the steps taken to differentiate between MIS-C and EVALI.
Each case involved a young adult in their late teens or early twenties who presented to the emergency room at NewYork-Presbyterian Queens after one week of intractable fevers, gastrointestinal symptoms, and respiratory complaints. All three patients were hospitalized to allow for further evaluation and monitoring. While their presenting symptoms varied, each patient was initially assessed for MIS-C secondary to suspected community-acquired COVID-19. However, results from a COVID-19 polymerase chain reaction (PCR) test and serology were negative.
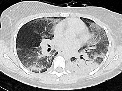
Self-reports of vaping THC directed providers to widen their differential diagnoses to include EVALI due to the connection between vaping products containing vitamin E acetate and the development of a systemic inflammatory response. Pneumonia was also considered, as well as appendicitis related to abdominal symptoms. While results from blood and urine analysis and imaging were negative, chest X-rays indicated mild opacities. The patients’ vaping history prompted a chest CT, which further revealed bilateral ground-glass opacities in all three patients leading to a diagnosis of EVALI. Treatment included methylprednisolone, ceftriaxone, and azithromycin. Patients were weaned off oxygen support and discharged home within two to three days with instructions to complete their full course of treatment and follow-up with a pediatric pulmonologist to confirm symptom resolution.

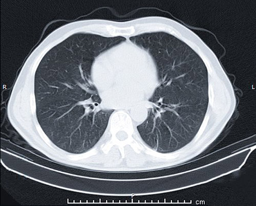
An example of a CT scan of the lung.
The three NewYork-Presbyterian case studies emphasize the pervasive effects of hyper-inflammation on the human body. Similarities in presentation and chief complaints between EVALI and MIS-C, compounded by the continuously evolving nature of COVID-19, continue to present challenges for pediatric providers. The authors note, “History of vaping, SARS-CoV-2 PCR testing and serology, and subpleural sparing or involvement on chest imaging might be the road to diagnose EVALI.” They also emphasize that it is essential that a thorough health history and physical assessment be obtained and compared with laboratory findings and radiologic interpretations to accurately manage either illness in the clinical setting.