Gynecology Advances

NewYork-Presbyterian

Advances in Obstetrics and Gynecology

Promising Treatment Targets Symptomatic Uterine Fibroids

Dr. Advincula

Dr. Arnold P. Advincula

According to the Department of Health and Human Services, up to 80 percent of women develop benign uterine fibroids by the age of 50. The majority of these women have no symptoms and treatment is generally unnecessary. However, those women with symptoms can experience debilitating menstrual cycles, frequent urination, infertility, and painful intercourse. Symptoms may worsen over time leading to more than two million women in the U.S. undergoing treatment for uterine fibroids each year.

“Uterine fibroids affect many women and can cause discomfort and heavy menstrual bleeding,” says Arnold P. Advincula, MD, Chief of Gynecology and Gynecologic Specialty Surgery at NewYork-Presbyterian/Columbia University Irving Medical Center and a leader in minimally invasive surgical techniques, including gynecologic robotic surgery. “We can now offer a new advanced gynecologic treatment option for some women with symptomatic uterine fibroids that is incision-free, fast, and may be particularly beneficial for a subset of our patients, who are in their childbearing years.”

Dr. Advincula, along with members of the Division of Gynecologic Specialty Surgery, is overseeing the implementation of the Sonata® System at NewYork-Presbyterian/Columbia and New York-Presbyterian Lawrence Hospital. This breakthrough alternative to hysterectomy and myomectomy uses radiofrequency energy to ablate fibroids under real-time intrauterine sonography guidance. This approach can be applied to a wide range of fibroid types and sizes, and in varying locations. The fibroids are ablated from inside the uterus, requiring no incisions to the abdomen or surgical removal of tissue and, at the same time, preserves the uterus and avoids the peritoneal cavity.

According to Dr. Advincula, the ideal candidate for transcervical radiofrequency ablation is a woman who has a small number of fibroids less than 7-8 cm located close to the endometrial cavity. “Transcervical radiofrequency ablation with the Sonata System is one of the newest minimally invasive surgical treatment options available, and we are the first major academic medical center in the tri-state area to acquire and adopt it as an option for patients,” says Dr. Advincula. “The procedure not only preserves potential fertility, but also may give women the option of going through vaginal childbirth in the future.”

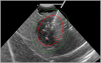
The Sonata System includes a proprietary graphical user interface (SMART Guide), enabling the surgeon to target fibroids and optimize treatment. The SMART Guide displays a real-time graphic overlay on the live ultrasound image, providing safe targeting and delivery of radiofrequency energy. The graphic overlay is controlled by the surgeon to determine the size and location of the ablation zone, safety borders, and the duration of radiofrequency energy delivery.

close-up ultrasound of uterine fibroids

The Sonata SMART Guide displays a real-time graphic overlay on the live ultrasound image.

Although a myomectomy can preserve a patient’s fertility potential, Dr. Advincula notes that women should be aware that a future pregnancy is not guaranteed, and, if successful, childbirth will often require a Cesarean delivery. “Even though we remove the fibroids and repair the uterine muscle, that muscle integrity is forever changed. So, depending on the extent of the myomectomy, you don’t want to stress it with labor at term,” he says. “With Sonata, we don’t make any large incisions on the uterus, so it doesn’t automatically commit a woman to having a Cesarean delivery in the future.”

“The approach typically takes only two to three minutes to treat each fibroid – it’s very fast,” continues Dr. Advincula. “The outpatient procedure also results in an easier recovery for patients, usually one to two days with minimal to no pain.”

In a 12-month multicenter Sonata Investigational Device Exemption pivotal trial, researchers examined the safety and effectiveness of transcervical fibroid ablation in the treatment of symptomatic uterine leiomyomas. The results of the study, published in the January 2019 issue of Obstetrics and Gynecology, showed 99 percent of patients were free from surgical reintervention for heavy menstrual bleeding; 97 percent were satisfied with the treatment and would recommend it to family or friends; 96 percent reported improved symptoms; 95 percent had a reduction in menstrual bleeding; and 50 percent of patients returned to normal activity the next day.

Although data is still being collected to assess the full impact on fertility for patients who have had this treatment, says Dr. Advincula, “transcervical radiofrequency ablation is an extremely promising treatment option to reduce pain, preserve the uterus, and give women the chance to become pregnant and potentially deliver vaginally.”

If fertility is not an issue, women can opt for uterine fibroid embolization or hysterectomy, says Dr. Advincula. “There’s a role for every therapeutic, but the right choice depends on the patient’s clinical profile and future desires.”

 

For more information

Dr. Arnold P. Advincula

NewYork-Presbyterian

Advances in Obstetrics and Gynecology

Read more about our latest clinical advances.