Innovations in Review 2024

Neurology and Neurosurgery

Machine learning, artificial intelligence, and other innovative technologies are shifting the landscape in neurology and neurosurgery. In 2024, NewYork‑Presbyterian physicians from Columbia and Weill Cornell Medicine forged new paths in the care for patients with neurological and spine disorders by utilizing AI to personalize spine surgery, applying new treatment approaches for essential tremor, expanding the use of minimally invasive techniques, and leading groundbreaking research to better understand the how and why behind intracranial and intracerebral hypertension.

Neurology and Neurosurgery
Neurology and Neurosurgery

Novel Surgical Approach Effective in Treating Essential Tremor

Patients who require surgical intervention for essential tremor typically undergo magnetic resonance-guided focused ultrasound (MRgFUS) thalamotomy in their dominant hand, which provides relief; however patients with bilateral symptoms still experience issues. Michael G. Kaplitt, MD, PhD, executive vice chair of neurological surgery and director of movement disorders and pain neurosurgery at NewYork‑Presbyterian and Weill Cornell Medicine, and Gordon H. Baltuch, MD, PhD, co-chief of functional neurosurgery at NewYork‑Presbyterian and Columbia, collaborated on a multicenter trial treating 51 patients with essential tremor with staged, bilateral MRgFUS thalamotomy. Results from the trial indicated bilateral treatment is generally safe, effective, and can improve functional disability in patients who had already achieved long-term stability in their dominant hand from a previous unilateral procedure. The FDA approved the MRgFUS surgery system for bilateral use, which will change the course of care for patients with these conditions.

Axial and coronal images from (L) before bilateral treatment and (R) after the procedure. The green is the target of the MRgFUS ablation whereas the red and yellow portions are nearby structures. After treatment, the nearby structures remain untouched, showing that the brain was successfully ablated bilaterally without affecting nearby structures.

Lumbar Fusion Approach Uses AI to Personalize Devices

Andrew K. Chan, MD, co-director of minimally invasive scoliosis surgery at Och Spine at NewYork‑Presbyterian and Columbia, is leveraging artificial intelligence and 3D printing to address historical issues of using prefabricated implants that often do not match the precise topography of patients’ vertebrae. In 2024, Dr. Chan performed the first minimally invasive lumbar fusion in New York using 3D-printed personalized interbody devices to treat a patient with severe spinal degeneration from L3 to S1 for whom non-surgical strategies were insufficient. Based on successful results and multiple additional cases with personalized 3D-printed devices, Dr. Chan is leading the application of the broader use of AI in minimally invasive lumbar fusion cases to revolutionize patient outcomes.

The AI-enabled planning software generates personalized alignment plans and patient-specific device designs that are reviewed, refined, and approved by each surgeon through a mobile 3D visualization platform. Photo credit: Carlsmed, Inc.

Minimally Invasive Treatment for Idiopathic Intracranial Hypertension

Srikanth Reddy Boddu, MD, an interventional neuroradiologist at NewYork‑Presbyterian and Weill Cornell Medicine and director of interventional neuroradiology at NewYork‑Presbyterian Queens, is one of a few physicians in the country who treats idiopathic intracranial hypertension (IIH) with minimally invasive techniques. Recent research on IIH outlined challenges with the standard of care, pharmacologic treatment, which often comes with side effects, or a ventriculoperitoneal (VP) shunt. Nearly half of VP shunts fail after two years, necessitating additional procedures. Dr. Boddu and his team have innovated a third option for patients: venous sinus stenting. This option is the most effective treatment for IIH according to meta-analyses, offering immediate relief from pulsatile tinnitus and potentially resolving vision issues within three months.

Srikanth Reddy Boddu, MD, an interventional neuroradiologist at NewYork‑Presbyterian and Weill Cornell Medicine and director of interventional neuroradiology at NewYork‑Presbyterian Queens, is one of a few physicians in the country who treats idiopathic intracranial hypertension (IIH) with minimally invasive techniques. Recent research on IIH outlined challenges with the standard of care, pharmacologic treatment, which often comes with side effects, or a ventriculoperitoneal (VP) shunt. Nearly half of VP shunts fail after two years, necessitating additional procedures. Dr. Boddu and his team have innovated a third option for patients: venous sinus stenting. This option is the most effective treatment for IIH according to meta-analyses, offering immediate relief from pulsatile tinnitus and potentially resolving vision issues within three months.

Understanding Intracerebral Hemorrhage in Pregnancy

A retrospective analysis of 134 young adult patients who were treated for nontraumatic intracerebral hypertension (ICH) at NewYork‑Presbyterian and Columbia is shedding light on the differences between pregnancy-associated ICH and ICH that occurs in non-pregnant people. Led by Eliza C. Miller, MD, MS, a neurologist, and Whitney A. Booker, MD, a maternal-fetal medicine specialist, results indicated that patients with pregnancy-associated ICH had more lobar hemorrhages and more hemorrhages associated with posterior reversible cerebral vasoconstriction syndrome or reversible cerebral vasoconstriction syndrome than male patients or non-pregnant female patients. The team is now working on a pilot study that will observe brain activity in patients with preeclampsia to better understand how to prevent and treat ICH.

Understanding Intracerebral Hemorrhage in Pregnancy

New Study to Identify Biomarkers for CAA‑Related Inflammation

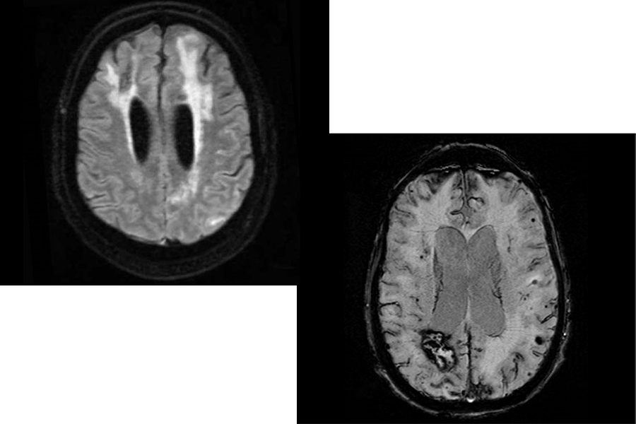
While cerebral amyloid angiopathy (CAA), a hallmark of Alzheimer’s disease, typically occurs in people over age 50, CAA-related inflammation (CAA-ri) is common in people age 40 or over and is marked by an autoimmune response to the amyloid deposits accumulating in arterial walls. In 2024, NewYork‑Presbyterian and Weill Cornell Medicine neurologist Samuel Bruce, MD, launched one of the first research studies to compare measures of blood-brain barrier disruption and inflammation between patients with CAA and patients with CAA-ri to identify biomarkers that differentiate the two groups. The results of this study are aimed at identifying one or more biomarkers that differentiate the two groups. If the results are validated in a larger, multicenter study, it could change how Alzheimer’s disease is detected and diagnosed.

Left: Image from a fluid-attenuated inversion recovery (FLAIR) sequence from an MRI showing the imaging signature of CAA-ri: asymmetric cortical and subcortical hyperintensities suggestive of vasogenic edema and sulcal effusion. Right: Susceptibility-weighted imaging sequence of an MRI showing multiple imaging hallmarks of CAA: lobar intracerebral hemorrhage, multiple lobar microhemorrhages, and cortical superficial siderosis.

Data Mining: Using Machine Learning for Predictive Neurocritical Care

It is well-known that there is a significant risk for stroke among patients recovering from aneurysmal subarachnoid hemorrhage, but it can be hard to predict which patients are likely to develop additional complications. Soojin Park, MD, FAHA, FNCS, a neurologist at NewYork‑Presbyterian and Columbia and medical director of critical care data science and artificial intelligence at NewYork‑Presbyterian, has applied her experience in the neurocritical ICU and a background in data science to create the Continuous Monitoring Tool for Delayed Cerebral Ischemia (COSMIC) score. On the Advances in Care podcast, she discussed how the COSMIC system uses machine learning and patient data to accurately assess risk and creates opportunities for targeted neurocritical care.

Advances in Care podcast featuring Dr. Soojin Park

A Move to Minimal: Improving Recovery with Less Invasive Spine Surgery

Minimally invasive techniques for spine surgery are intended to reduce pain, shorten recovery time, and improve quality of life for patients. On the Advances in Care podcast, Andrew K. Chan, MD, co-director of minimally invasive scoliosis surgery at Och Spine at NewYork‑Presbyterian and Columbia, shared how he personalizes care plans for his patients depending on their individual needs, including patients who may not historically be perceived as candidates for minimally invasive spinal surgery due to their age or diagnosis—an effort to increase and improve opportunities for all patients with spine conditions.

Advances in care podcast featuring Dr. Andrew Chan