Neurology & Neurosurgery

Spinal Tumor and Spinal Stenosis Treated in a Single, Minimally Invasive Surgical Procedure Leveraging 3D Navigation

    • A retired New York City first responder was diagnosed with concurrent spine conditions on different levels that were causing debilitating pain and mobility issues – a benign schwannoma on L5-S1 and spinal stenosis at L4-L5.
    • Neurological spine surgeons used minimally invasive techniques to tackle both issues in one surgery utilizing a single incision and 3D stereotactic navigation.
    • A team at Och Spine at NewYork-Presbyterian was able to facilitate a collaborative treatment plan from surgery through recovery in one location.

    Bernard Gifford, a retired New York City detective and 9-11 first responder, was walking home from a Brooklyn Nets game when he began to experience debilitating leg pain that radiated down the backs of his legs. He thought it was an isolated incident and pushed on until he got to his home. However, the next day when Bernard was walking his dog, the pain returned, bringing him to his knees.

    He sought treatment with local Brooklyn physicians and ended up in the care of Martin Zonenshayn, MD, a neurosurgeon with expertise in movement disorders at NewYork-Presbyterian Brooklyn Methodist, who discovered there were two issues plaguing Bernard’s spine – a benign tumor and spinal stenosis. The combination was causing excruciating pain and disability, and treating it would require the expertise of a neurological spine surgeon. Recognizing this, Dr. Zonenshayn referred him to Roger Härtl, MD, co-director of Och Spine at NewYork-Presbyterian and director of neurological spine surgery at NewYork-Presbyterian and Weill Cornell Medicine, who specializes in complex spine surgery for degenerative conditions, tumors, and trauma.

    Dr. Härtl and Bernard discuss his case and how the team at Och Spine at NewYork-Presbyterian and Weill Cornell Medicine was able to address his two spine conditions and restore him back to health.

    Below, Dr. Härtl shares details of Bernard’s condition, the minimally invasive treatment approach, and why Och Spine at NewYork-Presbyterian was the optimal center to handle this type of complex spine condition.

    How the patient presented

    The first time I met Bernard, I was struck by how he was larger than life – both physically and in personality. But you could tell he was suffering. He hadn’t been able to exercise because of his symptoms. He couldn’t really straighten out. When he stood up, he couldn’t straighten out because of his debilitation pain. He was pretty devastated and worried about his symptoms.

    Pre-operative MRI showing the spinal tumor at L5/S1 on the left side.

    Pre-operative MRI showing the spinal tumor at L5/S1 on the left side.

    Bernard actually had two unrelated spine issues happening at the same time. He had a 1.5cm benign schwannoma – a tumor in the lining of the spinal nerve cells – at the L5-S1 level that was compressing a nerve on his left side and causing pain down his left leg.

    Pre-operative MRI showing severe spinal stenosis at L4-L5.

    Pre-operative MRI showing severe spinal stenosis at L4-L5.

    He also had severe spinal stenosis at the L4-L5 level which was causing nerve compression of all the nerves that go into the lumbar spine. Both conditions individually are relatively common but what’s uncommon is the combination of them. Usually a patient has lumbar stenosis, and someone has a spinal tumor. It’s very rare to have both come together at adjacent levels.

    Devising a Plan to Treat Two Conditions in One Surgery

    The two conditions were causing Bernard to be in excruciating pain, and it was obvious that we needed to develop a treatment plan quickly before he suffered any permanent neurological damage. Once patients with nerve compression become symptomatic, there is no good way to treat the condition without mechanically taking the pressure off the nerve. In Bernard’s case, it was a bit more challenging since we had to tackle the two unrelated problems simultaneously. A lot of questions came up as we thought about how to treat both conditions – Are we going to do an open operation or a minimally invasive one? Can we treat both problems at the same time? How will one operation affect the other surgery?

    At Och Spine at NewYork-Presbyterian and Weill Cornell Medicine, we see these kinds of complex spine cases frequently and are adept at navigating treatment questions and anticipating potential complications. Our goal is to come up with a surgical treatment plan that results in the best patient outcomes, and oftentimes it is through a minimally invasive procedure. That’s just what I did for Bernard.

    Applying Microsurgical Techniques for Spinal Stenosis and Tumor Resection

    For Bernard’s surgery, we decided that the best course of action was to address both issues in one procedure. My team and I performed a minimally invasive fusion and tumor resection at L5-S1 and a minimally invasive laminectomy without fusion for the stenosis at L4-L5. Using one small incision, we were able to treat both problems with technology magnification and an operating microscope.

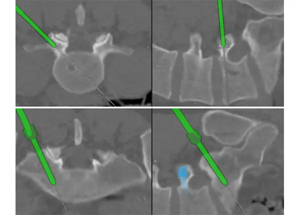
    Using 3D stereotactic navigation, which allows surgeons to see structures deep in the spine that you otherwise cannot see, we employed a microsurgical technique to remove the tumor first and then address the subsequent nerve compression it had caused. We also had to stabilize the spine and accomplished that by inserting minimally invasive instrumentation through that same incision. For the spinal stenosis, we removed the portion of the lamina that was compressing the nerves at L4-L5 and then inspected the spinal cord and nerve roots for any further damage before finally completing the surgery. We essentially performed three operations in one.

    Placement of screws for the fusion using stereotactic 3D navigation.

    Placement of screws for the fusion using stereotactic 3D navigation.

    The surgery took 3-4 hours to complete, and it was extremely successful. If we had taken a more traditional open approach, it would have been a much bigger operation. Before these new technologies became available, to remove the tumor where it was, we would have done two surgeries, the first with a vascular surgeon to expose the tumor and remove it. And then we would have done a second surgery to stabilize the spine and treat the lumbar stenosis.

    Because we are now able to leverage 3D navigation technology, which allows us to see deep structures in the spine through a small incision, that enabled us to get into the spine with a much smaller footprint without disrupting a lot of the muscle, and that technology is what allowed us to address both the tumor and the stenosis in one procedure.

    Movement is Key to Recovery from Minimally Invasive Spine Surgery

    I always tell my patients that their attitude towards recovery will make the biggest difference. Bernard had a positive attitude that motivated him to get better, and that made me very optimistic that he would have great outcomes.

    Post-operative MRI

    (Left) Post-operative MRI showing resolution of lumbar stenosis; (right) post-operative X-ray showing the spinal fusion at L5-S1 where the tumor has been removed.

    After surgery, we got Bernard up and walking as soon as possible. He was released to recover at home one day post-operatively. With spine surgery, patients are encouraged to get up and moving as soon as possible. Walking is key to their recovery, and putting the responsibility on the patient to take the initiative to move is very helpful psychologically because it shows them that they can move. Two weeks after surgery, I encourage my patients to keep walking but also try to get into the pool, on the elliptical, or on a recumbent bike to continue their rehabilitation.

    Comprehensive Approach to Spine Care

    Back and neck pain are one of the most common reasons why patients seek out medical care and there’s so many things that can be causing the pain. That’s why it’s important for patients like Bernard to find the right specialist who can help them accurately diagnose their condition and create a treatment plan that is personalized to their individual case. At Och Spine at NewYork-Presbyterian, we take care of patients with all types of spinal conditions with the goal of providing them with comprehensive care that begins with diagnosis and continues through treatment and recovery. Rather than send patients to see multiple specialists in different locations, we bring all of the subdisciplines together – orthopedists, physiatrists, physical therapists, neurological spine surgeons, and orthopedic spine surgeons – in one location to provide care that is truly patient-centered. In Bernard’s case, this type of collaboration enabled him to have his surgery and follow up care all in one location, and that convenience is invaluable.

      For more information

      Dr. Roger Härtl
      Dr. Roger Härtl
      [email protected]