Neurology, Orthopedics

Teaming Up to Conduct Complex, High-Risk Spinal Reconstruction Surgery

    • Orthopedic spine surgeons at NewYork-Presbyterian/Columbia are conducting extremely complex and high-risk reconstructive procedures to correct disfiguring and disabling spinal deformities
    • The complexity of these procedures requires intricate, highly coordinated collaboration to expedite multi-stage surgeries, which may include halo traction, vertebral column resection, and extensive spinal reconstruction
    • Surgeons are successfully combining advanced technologies – artificial intelligence (AI)-assisted preoperative software, robotics, and stealth navigation – with legacy “freehand” techniques to operate with greater precision, accuracy, and flexibility
    • By leveraging their unique combination of technical expertise, cutting-edge technologies, and multidisciplinary approach to caring for patients with spinal deformities, surgeons at NewYork-Presbyterian/Columbia are giving patients their lives back

    Few, if any, institutions can match NewYork-Presbyterian in terms of offering cutting-edge imaging and surgical technologies wielded by some of the country’s most highly accomplished orthopedic surgeons. Those capabilities were put to the test when a patient in their 70’s was referred to Joseph M. Lombardi, MD, an orthopedic spine surgeon at Och Spine at NewYork-Presbyterian and NewYork-Presbyterian/Columbia.

    The patient presented with severe thoracic and cervical kyphosis, with the curvature of his spine exceeding 90 degrees. The patient also had dislocated facets in the cervical spine, whereby the joints in his neck were not congruent and were starting to separate. He had a history of multiple surgeries, including Harrington rod instrumentation and anterior cervical discectomy and fusion, as well as comorbidities including osteoporosis, glucose-6-phosphate dehydrogenase (G6PD) deficiency, congenital liver disease, and a history of blood clots. The patient had also recently experienced a mild fall, that resulting in worsening of his kyphosis due to his osteoporosis. “He had to use enormous amounts of energy just to hold his head in an upright position to look forward, a condition called chin-on-chest deformity,” recalls Dr. Lombardi. “That led to disability.”

    Preoperative x-ray of patient's spine

    Preoperative lateral X-rays showing the hyperkyphosis of the thoracic spine and the kyphosis of cervical spine making it difficult for the patient to hold heir head up.

    Dr. Lombardi ordered a series of imaging tests and procedures, including EOS x-ray, total spine MRI, total spine CT scan, and three-dimensional modeling, to obtain a more complete visualization of the patient’s deformities. Whereas the x-rays illuminated the larger structural issues, the other tests and procedures yielded finer details that revealed the full extent of the patient’s condition, which Dr. Lombardi describes as “quite rare. We do see a fair amount here at NewYork-Presbyterian, given that we’re one of the major scoliosis centers in the country. But even that said, we probably see cases this complex maybe a few times a year.

    3D printed model of spine used to plan surgery

    3D printed model used for planning of the surgery showing the accentuated hyperkyphosis of the thoracic spine and the horizontal position of the cervical spine as opposed to a more upright position.

    “Candidly speaking, when I first met [the patient], given their age, their medical comorbidities, and the complexity of the surgery, I wasn’t sure whether surgery was a good idea for them, or whether they would survive,” Dr. Lombardi continues. He presented the patient’s case to the Preoperative Optimization Conference (POC), a unique entity within NewYork-Presbyterian/Columbia, in which complex cases are reviewed by a multidisciplinary panel of orthopedic surgeons, neurosurgeons, and other medical experts including cardiologists, anesthesiologists, nephrologists, pulmonologists, and primary care physicians. Panelists then weigh in on the safety and practicality of a proposed surgical procedure. 

    In this case, the patient required reconstruction of their entire spine, from the upper cervical C2 to the sacrum and pelvis. They also needed a three-column osteotomy, which essentially involved breaking the spine and realigning it in a better position. “That’s a big surgery for anyone, given the toll it takes on the patient,” Dr. Lombardi observes. Fortunately, the POC concluded that the patient could withstand the surgery, though Dr. Lombardi was hesitant to conduct the procedure alone. That is when he brought in his colleague Zeeshan M. Sardar, MD, an orthopedic spine surgeon at Och Spine at NewYork-Presbyterian and NewYork-Presbyterian/Columbia specializing in spinal deformities and degenerative conditions. “Together, [Dr. Sardar and I] felt that we could get through the case quicker and in a safe manner to get [the patient] off the table as soon as possible,” says Dr. Lombardi.

    Having two sets of eyes instead of one helps to understand if we should even proceed with this or not. From a clinical assessment perspective, we felt that [the patient] would be able to get through the surgery safely if we did it in a manner where the two of us were doing the surgery, so things move along well.

    — Dr. Zeeshan Sardar

    “Having two sets of eyes instead of one helps to understand if we should even proceed with this or not,” agrees Dr. Sardar. “From a clinical assessment perspective, we felt that [the patient] would be able to get through the surgery safely if we did it in a manner where the two of us were doing the surgery, so things move along well.”

    Expediting a Multiple-Stage Surgery

    “Usually we do these surgeries in multiple stages because the magnitude of the surgery itself is so big, and it’s very long for the surgeon and the patient, and that makes the recovery time longer as well,” comments Dr. Sardar. "From a surgical invasiveness perspective, this is probably one of the biggest surgeries that we do: [reconstructing] the whole spine and a big osteotomy.”

     In this case, Drs. Lombardi and Sardar conducted the procedure in three stages. In the first stage, the two surgeons placed the patient in a halo ring to stretch out the spine to achieve as much correction as possible preoperatively. This part of the procedure took about 20 minutes, though the patient remained in halo traction for about two weeks, after which the surgeons performed a vertebral column resection (VCR) in the thoracic spine which is a 3 column osteotomy. This surgery encompassed the upper cervical to the lower thoracic spine. “The good thing is that the spine has a left and a right even though it’s in the middle,” Dr. Sardar notes. “Dr. Lombardi and I can both basically work in tandem at the same time to speed up the process” of exposing and removing the deformed vertebrae and placing screws.

     Screw and instrumentation plan of patient's spine

    Frontal and lateral views of the screw and instrumentation plan created using the robotic technology

    The VCR and reconstruction from the upper cervical spine to the lower thoracic spine took roughly 10-12 hours to complete. The final stage, extension of the construct to the sacrum and pelvis, took place 10 days after the VCR, and required approximately six hours of operating time. “[Osteotomy] involves some manipulation of the spinal cord, and it helps a lot to speed up the process if the person on the other side also completely understands the steps and what we are doing,” Dr. Sardar explains. “There’s not a lot of talking; we know what we are doing, we know each other’s steps, and we know how we’re going to move forward towards completing the surgery.” 

    Drs. Lombardi and Sardar estimate that they collaborate on this type of complex surgery about 10 to 12 times a year, or once or twice a month. “When you do these cases and you’re fusing the entire spine, these are some of the most invasive, morbid surgeries we can do on the human body,” Dr. Lombardi observes. “I don’t mean that in a bad way. The point is that every minute on the operating table, every milliliter of blood loss, impacts the patient’s outcome. So when you approach surgeries this big and this complex, it makes a huge difference to have two deformity-trained surgeons moving through the case.”

    Combining Advanced Technologies with Older Techniques

    Drs. Lombardi and Sardar made extensive use of advanced technologies to expedite the procedure. They started the planning process by deploying an artificial intelligence (AI)-assisted preoperative software program to create a pre-contoured rod to stabilize the patient’s spine during the procedure. The software enabled them to design a rod bent to the ideal shape and correction for the patient’s spine, while also allowing them to plan the size and locations of the osteotomy cuts. With the software, “we can actually see the effect [the rod] is going to have on the spine, and it can help us change our operative plan based on the feedback we’re getting from the system,” explains Dr. Lombardi. “The artificial intelligence comes in where it can help predict how the spine will respond in the unfused segments.” 

    Dr. Sardar emphasizes that their extensive planning process is AI-assisted but not wholly dependent on AI. “Obviously, there’s an AI component that gives us an initial plan, but there’s a lot of input that comes from us; there’s a lot of back and forth,” he says. “We change the alignment based on things that we know, and then we also plan things like what size rods to use and where we want the rod to be transitioned because, in this case specifically, it’s a long rod that transitions from a thicker rod in the bottom part to a thinner rod in the neck. Where do you transition that segment? It all goes into the planning. 

    “The other nice thing about the rod planning is that we can also use it as an intraoperative template,” Dr. Sardar continues. “Once we have a correction and we have one rod in, we can just put the second rod on the patient as well and see if we got the correction and alignment we wanted for this patient, as opposed to just accepting some alignment randomly.” 

    Drs. Lombardi and Sardar also employed robotics to implant screws in the pelvis and lumbar spine, as robotic technology enables quick and accurate placement of screws in those locations. “The nice thing about this case is that it highlights three different methods of screw placement,” Dr. Sardar explains. “At the bottom of the lumbar spine, in the sacrum and pelvis, where you really need to optimize fixation, we use the robot to insert big, long screws. We also use the robot to plan the position of the screws so that the rods line up properly and you don’t have to manipulate things more than you need to. Robotics also give us an idea of how things can be matched better to the rod itself so that we’re putting less stress on the bone.” 

    Additionally, the surgeons employed stealth navigation technology to place screws in the upper cervical spine. “The cervical spine moves a bit more and the robot is not as good yet with mobile segments,” notes Dr. Sardar. “In the middle – the lower cervical and the thoracic spine – we essentially use what we call freehand, using anatomical landmarks to place those screws. Because we’re so used to it, we are able to get really good fixation with freehand because the landmarks are more visible and in front of us.”

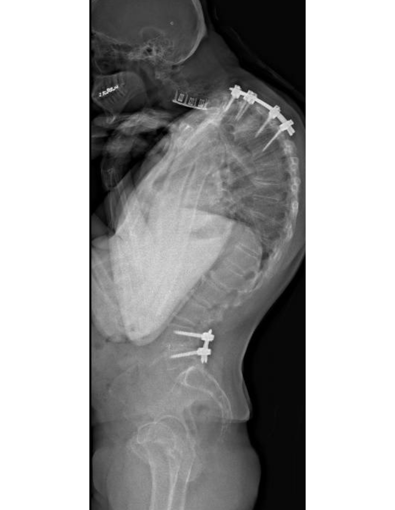
    Post op x-ray of patient's spine

    Post-operative lateral X-ray showing improvement of the thoracic spine hyperkyphosis and the upright posture of the cervical spine.

    Giving Patients Their Lives Back

    As of this writing, it has been six months since the patient’s discharge, and Dr. Lombardi describes them as “thrilled with their new alignment. They feel as though we gave them their life back. They are able to stand upright and interact with other people, eat normally, sleep normally.” Dr. Sardar notes that the patient has resumed traveling, and though they felt “some aches and stuff” after a long flight, “overall they were still pretty happy.”

    Although they’re in pain, you’ve already changed their lives. They go from being bent over to being able to stand up and look forward for the first time in a long time. That gives them inspiration that helps them get through the initial post-operative pain and they’re honestly happier than you would expect after such a big surgery.

    — Dr. Joseph Lombardi

    According to the two surgeons, this patient’s satisfactory experience is typical of those who undergo this type of procedure. Even when in halo traction, and in between surgeries, most patients start to feel more hopeful as they recover, despite whatever discomfort they may be experiencing. “Although they’re in pain, you’ve already changed their lives,” Dr. Lombardi comments. “They go from being bent over to being able to stand up and look forward for the first time in a long time. That gives them inspiration that helps them get through the pain and they’re honestly happier than you would expect after such a big surgery.”

    Leveraging Unique Capabilities

    “This case took every kind of cutting-edge piece of technology that we have for spine surgery in 2023,” Dr. Sardar summarizes. “And we also used techniques that have been around for 20, 30 years. So it was a nice combination of everything.” 

    For this kind of complex, high-risk surgery, “You need the technical expertise, and you need the whole setup,” adds Dr. Sardar. “It requires a whole team to take care of these patients.”

    Incredible, complex surgeries are done here, even surgeries that can’t be done by other institutions in New York City. We’re leveraging the most advanced technology, including AI, and we’re leveraging multidisciplinary care, including multiple attending care, which is all in part unique to our institution.

    — Dr. Joseph Lombardi

    Dr. Lombardi comments that NewYork-Presbyterian is notable for its combination of technical expertise, cutting-edge technology, and multidisciplinary approach to complex spinal surgery. “Incredible, complex surgeries are done here, even surgeries that can’t be done by other institutions in New York City,” he says. “We’re leveraging the most advanced technology, including AI, and we’re leveraging multidisciplinary care, including multiple attending care, which is all in part unique to our institution.”

      For more information

      Dr. Joseph Lombardi
      Dr. Joseph Lombardi
      [email protected]
      Dr. Zeeshan M. Sardar
      Dr. Zeeshan M. Sardar
      [email protected]

      Stay up to date with the Advances newsletter

      Get the latest groundbreaking research and advancements in medicine delivered to your inbox.

      Sign Up