Gastroenterology

Uncovering the Cause of Gastrointestinal Symptoms for a Patient Who Went Nearly 3 Years Without a Diagnosis

    • Simha Hyman is a 64-year-old who began experiencing nonspecific symptoms since 2021 – epigastric pain, back pain, anemia, and weight loss. All of her testing came back normal.
    • In 2024, she was referred to NewYork-Presbyterian and Columbia after a capsule endoscopy was performed and the capsule became lodged in her intestines.
    • When Dr. John Poneros, a gastroenterologist and endoscopist, couldn’t reach the capsule through a single balloon enteroscopy, he consulted with Dr. Ravi Kiran, a colorectal surgeon and co-director of the Global Center for Integrated Colorectal Surgery and IBD Interventional Endoscopy.
    • Dr. Kiran, who often sees complicated cases like these, successfully removed the capsule, performed a small bowel resection, and dissected a fistula free from the pelvis.
    • Post-surgical pathology confirmed a diagnosis of severely active Crohn’s ileitis characterized by transmural chronic inflammation and ulceration.

    It’s not uncommon for John Poneros, MD, a gastroenterologist and endoscopist at NewYork-Presbyterian and Columbia, to consult on complex gastrointestinal cases. So, it wasn’t unusual when he received a call from a colleague to assist on the case of Simha Hyman, a 64-year-old who was both experiencing nonspecific symptoms and who had a capsule stuck in her small intestine from a previous capsule endoscopy. It wasn’t long before Dr. Poneros realized that the case went beyond his expertise. He brought in Ravi P. Kiran, MD, a colorectal surgeon and co-director of the Global Center for Integrated Colorectal Surgery and IBD Interventional Endoscopy at NewYork-Presbyterian and Columbia, and together, they evaluated her case and devised a treatment plan.

    Below, Dr. Poneros and Dr. Kiran discuss this puzzling case and the importance of collaboration in managing complex gastrointestinal care.

    How did Simha Hyman first come into your care?

    Dr. Poneros: Since 2021, Simha had been experiencing a variety of nonspecific symptoms – epigastric pain, back pain, anemia, and weight loss. Her local gastroenterologist had a suspicion of Crohn’s disease; however, when he performed a colonoscopy in 2021, everything came back normal. In 2023, she had an esophagogastroduodenoscopy, colonoscopy, and PET and CT scans, which found enlarged mesenteric nodes. Her local doctor performed a capsule endoscopy, which became lodged in her intestines and shortly after, she was referred to get a biopsy of the enlarged nodes, which came back negative for malignancy.

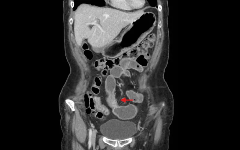
    CT imaging showing lodged capsule

    CT imaging showing the capsule lodged in the patient’s intestine.

    Her physician consulted me about performing a single balloon enteroscopy to remove the capsule, which, as an advanced endoscopist is something I perform routinely. She came into my care in June 2024, when I performed the balloon enteroscopy. During the procedure, I was able to pass the endoscope easily through her esophagus, stomach, duodenum, and all the way to her mid-jejunum, and they all appeared normal. Unfortunately, despite using the longer scope, I was unable to reach the capsule. At that point, I recognized that this case was likely surgical, and I contacted Dr. Kiran to consult. 

    Dr. Kiran: I actually came to the endoscopy suite to look at her scans. She had already been experiencing symptoms for almost three years at this point and was struggling to eat. Dr. Poneros had a high index of suspicion of Crohn’s disease, like her local gastroenterologist, but that’s not his area of expertise. At that point, she came under my care.

    Why was this case so perplexing?

    Dr. Kiran: In patients with high index of suspicion of Crohn’s disease, we typically go into surgery with an idea of what we are going to encounter between imaging and serologic workup. However, she had labs done in both January and June 2024 and her fecal calprotectin levels and erythrocyte sedimentation rate (ESR) were normal. Typically, in a Crohn’s patient, these would be elevated when there is active disease and inflammation. However, she did not have a typical presentation for Crohn’s disease. Further, she had undergone a laparoscopy at a different institution just a few months prior to investigate her enlarged lymph nodes and other symptoms; however, it did not lead to a diagnosis or solution for her symptoms. 

    Sometimes you need to think a little bit when things are not lined up the way you expect them to be. You need to think about all of the potential causes. At the Global Center for Integrated Colorectal Surgery and IBD Interventional Endoscopy at NewYork-Presbyterian and Columbia, we see a lot of complex and uncommon cases like this, so she was in the right hands to get to the bottom of her problem.

    What were your goals for her surgery?

    Dr. Kiran: For her surgery, we needed to address two things – remove the capsule and obtain tissue biopsies to confirm the diagnosis that was behind her symptoms. However, as it is with most surgeries, it’s always possible that what you go in planning to do will change based on what you actually see within the body. And that was definitely true in her case.

    What did you find during surgery?

    Dr. Kiran: Prior to her surgery, we performed a CT enterography, which showed abnormal appearance of the mid-small bowel, concerning for inflammatory bowel disease (IBD) but atypical for Crohn’s disease because of the apparent sparing of the terminal ileum.

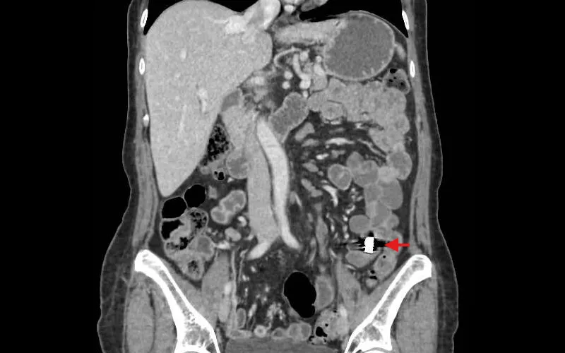
    CT imaging showing fatty tissue

    CT imaging showing thickened and fibrous fatty tissue around the small intestine.

    Her surgery took place in August. Initially, I was going to perform her procedure laparoscopically; however, when I saw what was occurring in her intestines, a decision was made to perform an open laparotomy. 

    I found several areas of concern. The small bowel mesentery was very thickened and foreshortened. She had multiple strictures located about 35 cm proximal to the ileocecal valve. That was where the capsule was lodged. She had another segment of small bowel about 10 cm distal to the first segment forming a fistula in the pelvis to the bladder. 

    Seeing this, I ended up performing a small bowel resection, removing a 25 cm thickened segment with multiple strictures and performing a side-to-side stapled anastomosis. I also dissected the segment of small bowel free from the pelvis. 

    I sent the resected portions of her bowel to pathology and the diagnosis came back as severely active Crohn’s ileitis characterized by transmural chronic inflammation and ulceration.

    How was her recovery?

    Dr. Kiran: She recovered extremely quickly. She stayed in the hospital for a couple of days and had no problems with postoperative recovery at home. She has since been referred to Alexandra Gutierrez, MD, director of the Inflammatory Bowel Disease Center at NewYork-Presbyterian and Columbia, for medical management of her Crohn’s disease.

    What was your main takeaway from this case?

    Dr. Poneros: It’s important to think outside of the box when it comes to complex cases like these and not be afraid to bring in your colleagues to consult on the case. Having complete faith in what your colleagues can do is essential for collaborative care. 

    Dr. Kiran: If someone is experiencing nonspecific symptoms and not getting better, you need to consider all possibilities and ask for expertise. Consulting with an integrated program that uses a GI-surgical approach like the Global Center for Integrated Colorectal Surgery and IBD Interventional Endoscopy at NewYork-Presbyterian and Columbia is essential as we have significant expertise in treating these types of complex cases. Although she did not present like a typical Crohn’s patient serologically, that is what her ultimate diagnosis ended up being. I am glad that we were able to help her solve that puzzle and get her on the road to healing.

      For more information

      Dr. John Poneros
      Dr. John Poneros
      [email protected]
      Dr. Ravi Kiran
      Dr. Ravi Kiran
      [email protected]