Innovations in Review 2023

Full Report

Our world-class doctors from Columbia and Weill Cornell Medicine are dedicated to providing clinical excellence and the highest quality of care to achieve the best possible outcomes for patients. Click the links below to learn more about notable innovations, clinical advancements and key research in 2023 across multiple specialties.

Full Report
Full Report

Cardiology & Heart Surgery

Treating Hypertension with Ultrasound Renal Denervation

Hypertension in middle age is thought to be caused, in part, by overactive nerves in the kidneys. Dr. Ajay Kirtane and the team at NewYork-Presbyterian/Columbia demonstrated that ultrasound-based renal denervation therapy reduced blood pressure by an average of 8.5 points in middleaged individuals who have not been able to control their hypertension with lifestyle modification or medication. Published in JAMA Cardiology, results of the pooled analysis of studies of the procedure (RADIANCE-HTN SOLO, RADIANCE-HTN TRIO, and RADIANCE II) led to the approval of the device by the U.S. Food and Drug Administration in November 2023.

The Paradise Renal Denervation System administers ultrasound energy to the tissue surrounding the artery to decrease the signaling of overactive nerves leading to the kidney. The Hydrocooling System provides active cooling from circulating water to protect the artery (Image courtesy of Recor Medical)

Women Fare Worse Than Men Undergoing CABG: Time to Close the Gap

There are over 370,000 coronary artery bypass graft (CABG) procedures performed in the United States each year. And while outcomes are improving overall, there is one stark reality: women continue to fare worse than men undergoing this procedure. NewYork-Presbyterian/Weill Cornell Medicine is tackling this issue with the recent launch of ROMA: Women, a randomized trial which seeks to evaluate single vs. multiple arterial graft outcomes for females to understand the optimal surgical approach based on the differences in biology and anatomy. The trial has received overwhelming encouragement to improve gender-based health care and patients have already begun enrolling as of March 2023.

Women Fare Worse Than Men Undergoing CABG: Time to Close the Gap

A Potentially Curative Procedure for CTEPH

In patients with chronic thromboembolic pulmonary hypertension (CTEPH), a pulmonary embolism forms chronic clots and scar tissue in the pulmonary arteries, resulting in severe shortness of breath and poor quality of life. In response, NewYork‑Presbyterian/Columbia cardiothoracic surgeons are performing pulmonary thromboendarterectomy (PTE), a potentially curative surgical procedure that entails putting the patient on cardiopulmonary bypass and cooling the body to remove the clot and scar tissue. NewYork‑Presbyterian has the only PTE program in New York and is one of just a few centers in the eastern U.S. that performs this procedure.

A surgical sample showing the clot and scar tissue removed from a patient with CTEPH during PTE

The First-Ever Infant Domino Partial Heart Transplant

NewYork-Presbyterian/Columbia is one of the nation’s leaders in organ transplants. In May, an integrated team of cardiologists and heart surgeons performed the first-ever infant domino partial heart transplant in the world, and the first partial heart transplant in a pediatric patient in New York. Two infants born with different heart conditions benefited from this groundbreaking procedure—the first child received a heart transplant from a deceased donor and was also the living donor for the second child’s partial heart transplant. What made the procedure at NewYork‑Presbyterian/Columbia so novel was that while the domino donor’s heart was not strong enough to function normally, the heart valves were a perfect match for the other young patient who was in need of valve surgery. This allowed for the care team to perform what is called a living allogeneic heart valve transplant, demonstrating that a domino partial heart transplant can occur with a living heart donor.

Drs. Emile Bacha and David Kalfa (NewYork‑Presbyterian/Columbia) preparing the new valves for two month- old Brooklyn during the partial heart transplant

Neurology & Neurosurgery

Unlocking the Mysteries of Hidden Consciousness in Comatose Patients

NewYork-Presbyterian/Columbia neurologists have identified brain injuries that may underlie hidden consciousness, or cognitive motor dissociation (CMD), the phenomenon by which brain-injured patients are unable to respond to verbal commands despite being able to hear and comprehend them. The team showed that brain structures related to arousal and command comprehension in CMD patients were intact, suggestive of injuries in brain circuits that relay information from the brain to muscles. This novel discovery may lead to a screening protocol for CMD using brain-imaging techniques.

CMD (green) vs. non-CMD patients’ (red) anatomical distribution of lesion patterns on structural MRI.

The First 3D-Navigation-Guided Endoscopic TLIF in NYC

Earlier this year, Dr. Ibrahim Hussain, a neurological spine surgeon at Och Spine at NewYork-Presbyterian, performed the first 3D-navigation-guided endoscopic transforaminal lumbar interbody fusion (TLIF) in New York City. This innovative procedure for treating lumbar degenerative pathologies relies on 3D navigation to map a trajectory that avoids nerve injury and helps plan and customize the size of the implant. This collapsed interbody “cage” is expanded after placement inside the disc space under endoscopic visualization. In contrast to open TLIF and minimally invasive TLIF, 3D endoscopic TLIF requires a smaller incision, minimal bone and muscle dissection, and less sedation, resulting in a faster, less painful recovery.

3D-navigation-guided trajectory mapping for the planning and sizing of an implant.

Oncology

Targeted Treatment for Metastatic Gastric Cancers Extends Survival

Metastatic gastric cancer patients face a grim prognosis: roughly 20% of them live longer than two years. Dr. Manish Shah, a medical oncologist at NewYork-Presbyterian/Weill Cornell Medicine, was a lead author and co-primary investigator of the international, multisite GLOW study evaluating zolbetuximab, a new targeted therapy. Delivered in combination with capecitabine and oxaliplatin, this novel treatment demonstrated a meaningful survival benefit among patients with HER2-negative gastric cancers that overexpress the protein claudin-18 isoform 2. Zolbetuximab is expected to receive FDA approval in early 2024.

An illustration of gastric cancer

Focused on Detecting and Preventing High-Risk GI Cancers

Addressing hard-to-treat cancer through early detection and prevention is a critical focus of physicians and researchers at NewYork-Presbyterian/Columbia. A multidisciplinary program that investigates these conditions is at the forefront of genetic risk assessment and cancer prevention in familial gastrointestinal syndromes that raise the risk for pancreatic, gastric, and colon cancers. Notable research is currently assessing the association of BRCA 1 and 2 gene mutations with pancreatic cancer and the increased risk of gastric cancer caused by alterations in the CDH-1 gene. Findings have validated new biomarkers for increased cancer risk, and the creation of innovative surveillance programs for at-risk populations have shown efficacy in the identification and treatment of early-stage cancers.

Focused on Detecting and Preventing High-Risk GI Cancers

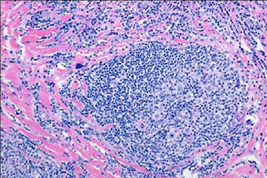
First Whole-Genome Sequencing Study of HL Could Lead to New Treatments

Dr. Lisa Giulino Roth, a pediatric oncologist at NewYork-Presbyterian/Weill Cornell Medicine, led the first whole-genome sequencing study of Hodgkin lymphoma, the most common cancer in adolescents and young adults. Among the study’s challenges was isolating malignant Reed-Sternberg cells, which represent less than 1% of the tumor. They first isolated 500– 3,000 Reed-Sternberg cells from stromal cells in samples, and then optimized their sequencing platforms for extremely low input. The investigators also clarified the molecular evolution of the disease. Published in Blood Cancer Discovery, this groundbreaking study could contribute to the development of novel targeted therapies and expand the use of existing treatments, based on the identification of driver mutations. The team is also leading one of the few prospective clinical trials of a targeted treatment for a rare lymphoma affecting females, primary mediastinal large B-cell lymphoma (PMBCL).

Hodgkin lymphoma biopsy demonstrating rare Hodgkin and Reed-Sternberg cells in a dense immune infiltrate. (Image courtesy of Dr. Lisa Giulino Roth)

Orthopedics

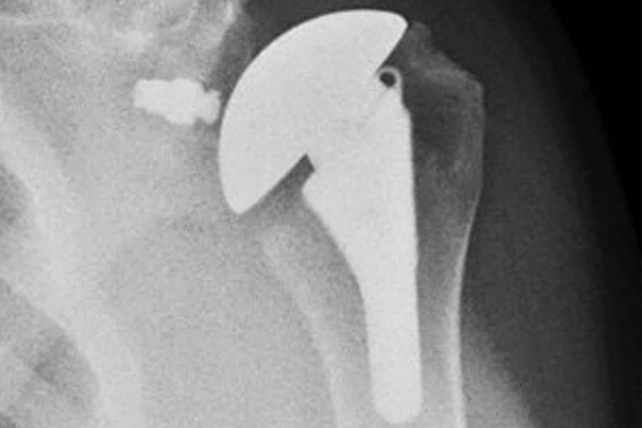
Breakthrough Shoulder Prosthesis Promises Improved Outcomes

Shoulder arthroplasty is ordinarily done either as anatomic shoulder replacement or reverse total shoulder replacement, distinctly different approaches that can limit the placement of prostheses if a revision surgery is later required. William N. Levine, Chair of the Department of Orthopedic Surgery at NewYork-Presbyterian/Columbia, was a member of a team of surgeons that helped develop a transformational shoulder prosthesis that can be used for either surgical approach and allows conversion of a failed anatomic replacement. The groundbreaking prosthesis is expected to markedly improve patient outcomes.

Left: Pre-operative image of shoulder before total shoulder arthroplasty. Right: Post-operative image showing the new prosthesis in place.

Novel Approaches to Periprosthetic Joint Infections

One of the hardest and potentially most devastating complications to treat in orthopedic surgery is arthroplasty-associated infection, or periprosthetic joint infection (PJI). Recognizing the need for improved treatment and care for PJI, NewYork‑Presbyterian/Columbia orthopedic surgeons are working on revolutionary approaches to successfully treat these complex issues, while also developing a model to assess patient risk of developing infections after total ankle arthroplasty.

Columbia orthopedic surgeons are working to better address periprosthetic joint infections, including risk assessment.

Advances Across All Medical Specialties

Testing a Revolutionary Pathway to Achieve Tolerance in Kidney Transplantation

In May 2023, an integrated team of cardiologists and heart surgeons at NewYork-Presbyterian/Columbia performed the first-ever infant domino partial heart transplant in the world, and the first partial heart transplant in a pediatric patient in New York. Two infants born with different heart conditions benefited from this groundbreaking procedure—the first child received a heart transplant from a deceased donor and was also the living donor for the second child’s partial heart transplant. What made the procedure so novel was that while the domino donor’s heart was not strong enough to function normally, the heart valves were a perfect match for the other young patient who was in need of valve surgery. This allowed for the care team to perform what is called a living allogeneic heart valve transplant, demonstrating that a domino partial heart transplant can occur with a living heart donor.

Testing a Revolutionary Pathway to Achieve Tolerance in Kidney Transplantation

Novel Brain Study Uncovers Autism Subtypes

A team of psychiatrists and neuroscientists at NewYork-Presbyterian/ Weill Cornell Medicine pioneered a novel machine-learning strategy to analyze newly available neuroimaging data of people with autism, identifying at least four subtypes of autism based on individuals’ genetic makeup, brain activity, and symptoms. The team grouped people in the study based on scores in three dimensions of symptoms—social skills and communication, restricted interests and repetitive behaviors, and intellectual disability or heightened intellectual skills—and linked them to brain connection patterns. Published in Nature Neuroscience, the study showed a strong correlation between gene expression and atypical brain connectivity patterns. The biological subtyping of autism may one day lead to new diagnostic methods and interventions.

Novel Brain Study Uncovers Autism Subtypes

A Pilot Study: Can a Weekly Pill Slow Ovarian Aging and Delay Menopause?

Dr. Zev Williams, a reproductive endocrinologist at NewYork-Presbyterian/Columbia, is evaluating whether the drug rapamycin can slow ovarian aging, delaying menopause and the concomitant rise in cardiovascular disease and dementia in a group of women ages 38 to 45. The Validating Benefits of Rapamycin for Reproductive Aging Treatment (VIBRANT) trial began enrolling patients in January. An mTOR inhibitor, rapamycin has been shown to slow ovarian aging in mice. If the pilot study is successful, a larger multisite trial of the drug is planned, with the long-term goal of increasing the lifespan and quality of life in older adults.

Trial participants will receive either rapamycin capsules or placebo capsules once weekly for three months.

Advancing RNA-based Vaccines for Cancers Associated with Lynch Syndrome

There is no cure for Lynch syndrome, an inherited condition that confers a greater risk for colorectal, stomach, endometrial, and other cancers, leaving patients reliant on surveillance to prevent disease. Dr. Steven M. Lipkin, a medical geneticist at NewYork-Presbyterian/Weill Cornell Medicine, is exploring the use of RNA vaccine technology to fight such malignancies in mouse studies, which could pave the way for effective cancer vaccines for people with Lynch syndrome and potentially, one day, the population at large. The effort is part of the Weill Cornell Medicine CAP-IT Center for LNP RNA Immunoprevention, funded by a five-year, $5.7 million grant from the National Cancer Institute of the National Institutes of Health.

Diagram of Lynch syndrome.