The esophagus is a tube that functions as a conduit for food once it is chewed and swallowed. Esophageal cancer is a malignant tumor of the esophagus. There are two main types of esophageal cancer: squamous cell carcinoma and adenocarcinoma. Barrett's esophagus is a precursor condition to esophageal carcinoma — specifically, adenocarcinoma.

The specialists in the Center for Advanced Digestive Care (CADC) of NewYork-Presbyterian/Weill Cornell Medical Center are experienced in diagnosing and treating esophageal cancer. Our interdisciplinary team includes gastrointestinal specialists in endoscopy, radiology, surgery, and oncology who work together to provide each patient with coordinated, advanced, and individualized care. The team includes experts with specialized training in advanced interventional endoscopy, which can be used to diagnose, stage, and treat esophageal cancer, as well as upper GI and thoracic surgical specialists, all of whom work together in esophageal case conferences to discuss the best treatment option for each patient.

Our team is also conducting clinical research assessing novel therapies to raise the survival rate for esophageal cancer and improve patients' prognosis. Patients may have opportunities to participate in clinical trials of promising new approaches.

Symptoms of Esophageal Cancer

Esophageal cancer can be associated with a variety of symptoms, including:

  • Difficulty swallowing solid or liquid materials (dysphagia)
  • Indigestion
  • Heartburn
  • Vomiting of blood
  • Chest pain/discomfort
  • Regurgitation of food
  • Weight loss
  • Anemia (low blood count)

Diagnosis of Esophageal Cancer

Esophageal cancer can be diagnosed by your gastroenterologist using the following tests:

  • Barium swallow — this test involves swallowing a liquid that can be seen on x-rays as it goes down the esophagus.
  • Chest CT scan — this test involves a radiologist taking an image of the esophagus and chest to visualize the tumor and also to see if cancer has spread.
  • Esophagogastroduodenoscopy (EGD) — a gastroenterologist uses a fiber optic instrument (scope) to see the inside of the esophagus and take tissue samples of any abnormal tissue.
  • Endoscopic ultrasound — this test is used to see how deeply a cancer has grown (invaded) and to see if it has spread to other places in the chest (see below for more information).
  • PET scan — an imaging test used to help stage esophageal cancer.
  • Probe-based confocal endomicroscopy — a small microscope is used to analyze cells within the wall of the esophagus to determine if they are normal or precancerous; tissue may be immediately removed through the endoscope for further examination. The CADC is one of few centers offering this highly specialized approach.

 

Treatment of Esophageal Cancer

The CADC offers the full range of treatment options for patients with esophageal cancer. Therapy depends on the size, location, and extent of growth of the esophageal cancer and may include endoscopic techniques or surgery. Chemotherapy and/or radiation therapy may be used before surgery to shrink the tumor, or after surgery to kill any remaining tumor cells.

Endoscopic Ultrasound (EUS)

CADC physicians increasingly use endoscopic ultrasound (EUS) to help diagnose and stage esophageal cancer. It is performed using an endoscope with an ultrasound probe at the tip. The test is used to help see the tumor, determine its depth, and see if the cancer has spread to the lymph nodes or invaded surrounding organs or vessels.

EUS is beneficial for providing additional information about esophageal cancer and can aid the planning of surgery, chemotherapy, and radiation treatment. If abnormal lymph nodes are found, they can also be sampled and sent to a pathologist to determine if they contain cancerous cells.

esophageal_cancer
Insertion of a stent into the esophagus

Insertion of a stent into the esophagus

Endoscopic Mucosal Resection (EMR)

Endoscopic mucosal resection (EMR) is a technique use to remove small superficial cancers. Prior to EMR, your gastroenterologist can perform endoscopic ultrasound to be certain the cancer is superficial. These decisions are also made in conjunction with a thoracic surgeon.

Removal of the superficial cancer with EMR is accomplished by placing a small rubber band around the tissue after it has been suctioned into a cap at the end of the endoscope. Once the area of concern has been banded, a "snare" is inserted and closed around the tissue. Electrocautery (heat) is then applied through the metal snare to cut the tissue out of the esophagus. The area is then allowed to heal, and in a few weeks, it is re-inspected with upper endoscopy and biopsied to ensure that all abnormal tissue has been removed.

Cryotherapy

The CADC offers cryotherapy, a novel endoscopic procedure used to help treat superficial cancers of the esophagus that cannot be removed through other means. Cryotherapy involves the use of a super-cooled liquid or gas to freeze abnormal cells. In some cases, cryotherapy can be used to help treat bleeding from esophageal tumors.

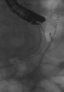
Esophageal Stenting
A stent may be inserted in the esophagus to enhance swallowing

A stent may be inserted in the esophagus to enhance swallowing

Esophageal Stenting

In some patients, an esophageal tumor can prevent the swallowing of solid and/or liquid foods. In these cases, esophageal stenting can be performed. It involves the use of an endoscope and x-rays to help place a metal stent across the esophageal tumor and helps to force the tumor up against the wall of the esophagus.

The stent has a hollow center that permits the passage of pureed foods and liquids into the stomach so the patient can still eat and get nutrition. The placement of a stent does not interfere with the patient's ability to have chemotherapy or radiation treatment. In some cases, the stent can later be removed if the disease responds to treatment. For more about esophageal stenting, visit Advanced Interventional Endoscopy.

Esophageal Cancer Surgery

Surgical removal of esophageal cancer remains a major treatment option for many patients. Your doctor may have you see a thoracic surgeon to consider minimally invasive surgery or more comprehensive surgery to remove a portion (or all) of the esophagus (an operation called esophagectomy). NewYork-Presbyterian/Weill Cornell's upper GI and thoracic surgeons are highly skilled in the range of surgical techniques. Depending on the stage of the esophageal cancer, chemotherapy or radiation therapy may also be used before or after surgery.

Contact us

Call for an Appointment


NewYork-Presbyterian

Center for Advanced Digestive Care