Pediatric Oncology

First Whole-Genome Sequencing Study of Hodgkin Lymphoma Could Lead to Novel Therapeutics

    Dr. Lisa Guilino Roth

    Lisa Giulino Roth, MD

    NewYork-Presbyterian/Weill Cornell Medicine physicians and researchers recently published the first whole-genome sequencing study of Hodgkin lymphoma, the most common cancer in adolescents and young adults (AYA), accounting for 11% of cancer cases in teens between the ages of 15 and 19. Lisa Giulino Roth, MD, senior author of the study published in Blood Cancer Discovery and Director of Pediatric Oncology at NewYork-Presbyterian/Weill Cornell Medicine, notes that this is a groundbreaking advancement for the treatment of Hodgkin lymphoma. “For the first time, we have been able to study, genome-wide, the molecular alterations in this tumor, which could lead to the identification of novel targeted therapies,” she says.

    Deciphering the Genetics of Hodgkin Lymphoma

    What makes Hodgkin lymphoma so challenging to sequence is its composition. Malignant Reed-Sternberg cells represent less than 1% of the tumor. The remaining tumor tissue includes immune infiltrates and a microenvironment of stromal and supporting cells that are the patient's own normal cells. "If you put a Hodgkin lymphoma tumor on a standard sequencing platform, you're basically sequencing the patient's normal or germline DNA," said Dr. Giulino Roth.

    Her team used a twofold approach: They first isolated 500-3,000 Reed-Sternberg cells from stromal cells in each sample. Because that is still a small number for next-generation sequencing, they then optimized their sequencing platforms for extremely low input. The study included samples from both pediatric and adult cases.

    For the first time, we have been able to study, genome-wide, the molecular alterations in classic Hodgkin lymphoma, which could lead to the identification of novel targeted therapies.

    — Dr. Lisa Giulino Roth

    How a normal B cell transforms into a malignant Reed-Sternberg cell has not been well characterized. In addition to unraveling the Hodgkin lymphoma genome, the investigators clarified the molecular evolution of the disease. They conducted a timing analysis to distinguish early from late molecular alterations in B cells. "We have now an evolutionary roadmap of what happens as a B cell transforms into a malignant Reed-Sternberg cell," notes Dr. Giulino Roth.

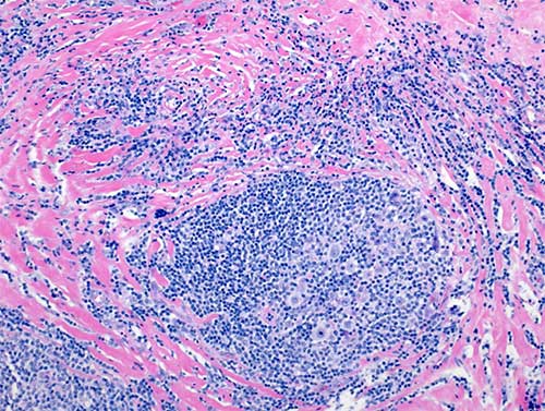
    Hodgkin lymphoma biopsy

    Hodgkin lymphoma biopsy demonstrating rare Hodgkin and Reed-Sternberg cells in a dense immune infiltrate. (Image courtesy of Dr. Giulino Roth)

    In addition, the scientists found biological differences across age groups. Younger patients displayed a higher mutational burden, acquiring mutations at a far accelerated rate relative to older adults. The researchers also identified driver mutations in Reed-Sternberg cells, some of which are targetable using existing medications. One is a mutation in the EZH2 gene, which can be targeted with tazometostat — a drug already used to treat other types of lymphoma.

    "Some targets are ready for primetime right now and some could represent new targets in the future. We need to better understand what they're doing to drive the growth of Reed-Sternberg cells," Dr. Roth contended. "Targeted therapies could be added to traditional chemotherapy regimens or perhaps replace components of current treatment."

    With funding from the Starr Cancer Consortium and the Children's Oncology Group (COG), she and her team — including Weill Cornell Medicine pathologist Anna Nam, MD — will continue this work by performing single-cell analysis to explore the heterogeneity of Reed-Sternberg cells. In collaboration with the COG, they will also study the relationship between Reed-Sternberg cells and the immune microenvironment in samples from clinical trials. Their goal is to identify signatures that might be predictive of patients' response to chemotherapy.

    A Clinical Trial for Treating a Rare Type of Hodgkin Lymphoma

    In addition to her work on genome sequencing Hodgkin lymphoma, Dr. Giulino Roth is working on finding treatments for a rare form of lymphoma that primary affects female AYA patients – primary mediastinal large B-cell lymphoma (PMBCL). This type of cancer is so rare that it is often lumped with other lymphoma types in clinical trials — particularly Burkitt lymphoma in pediatric patients and diffuse large B-cell lymphoma in adults. As a result, few prospective clinical trials of PMBCL alone have been conducted to advance patient outcomes. Dr. Giulino Roth is leading an international novel PMBCL clinical trial of nivolumab in combination with chemo-immunotherapy.

    If we can use checkpoint inhibitor therapy to improve outcomes for patients with newly diagnosed primary mediastinal B-cell lymphoma, we could reduce our reliance on more intensive toxic therapies and, hopefully, ultimately avoid radiation therapy.

    — Dr. Lisa Giulino Roth

    Treatment for PMBCL typically involves chemotherapy (either R-CHOP or DA-EPOCH-R) combined with rituximab, an immunotherapy, and in some cases, radiation. Although effective in treating PMBCL, these drugs cause long-term side effects. Dr. Giulino Roth and her fellow investigators are looking at adding nivolumab, a monoclonal antibody that blocks PD-1 that works as a checkpoint inhibitor. Nivolumab is already used for the treatment of non-small cell lung cancer, advanced renal cell carcinoma, gastric and gastroesophageal cancers, melanoma, urothelial carcinoma, malignant plural mesothelioma, recurrent or metastatic squamous cell carcinoma, Hodgkin lymphoma, head and neck cancer, colon cancer, and liver cancer.

    Doctor speaking with a teen with cancer.

    Doctor speaking with a teen with cancer.

    The randomized phase 3 clinical trial is assessing the addition of nivolumab to standard chemo-immunotherapy in patients newly diagnosed with PMBCL. Participants are randomly assigned to receive chemotherapy and rituximab with or without nivolumab. The study is a collaboration between several cooperative groups, including the COG, Alliance for Clinical Trials in Oncology, Southwest Oncology Group (SWOG), Eastern Cooperative Oncology Group (ECOG), and NRG Oncology. "By bringing all of these groups together, we now have the power to ask really important questions about this lymphoma subtype," said Dr. Roth, who is the principal investigator for this trial.

    Checkpoint inhibitors such as nivolumab have already been studied for relapsed PMBCL; this will be the first protocol evaluating its use as initial therapy. "If this approach improves outcomes for patients with newly diagnosed disease, we can reduce our reliance on more intensive toxic therapies and, hopefully, ultimately avoid radiation therapy," Dr. Roth noted. "This is of key importance for young female patients. Radiation therapy to the chest is associated with long-term toxicity, including an elevated risk of breast cancer and other secondary malignancies."

    Enrollment for the study is proceeding at a brisk pace. "When you open up a trial for a very rare disease, you just don't know if you're going to be able to execute the protocol and answer the questions you want to answer,” says Dr. Giulino Roth. “We are not only doing that but are doing it far ahead of schedule. I think everyone's really excited."

    A Personal Motivation to Support AYA with Lymphoma

    In 2013, Dr. Giulino Roth had just finished a fellowship in pediatric hematology/oncology when she was diagnosed with stage II Hodgkin lymphoma. She completed a four-month course of chemotherapy and has been in remission since.

    That life-altering experience prompted Dr. Giulino Roth to create the AYA Lymphoma Program at NewYork-Presbyterian/Weill Cornell Medicine. This program helps teens and young adults navigate the intricate medical, personal, and psychosocial issues that accompany a lymphoma diagnosis.

    “I wanted to create a program that addresses the special needs of a young person with a cancer diagnosis,” says Dr. Giulino Roth. “These patients can fall through the cracks. They often feel lost – not quite fitting into the pediatric clinic, but not the adult clinic either. A patient might see a pediatric oncologist or a medical oncologist and receive vastly different treatment for the exact same diagnosis.”

    Adolescents and young adults with lymphoma may encounter challenges different from those of their younger and older adult counterparts, including the effects of cancer treatment on fertility, the strains placed on young adults who may be newly independent and facing a life-threatening illness, and navigating a diagnosis and treatment throughout school or work. This complex set of needs necessitates a specialized multidisciplinary approach to care.

    Under Dr. Giulino Roth, the AYA Lymphoma Program brings together specialists in medical, surgical and radiation oncology and bone marrow and stem cell transplantation. Additionally to manage the concerns of this population, the program provides physicians with expertise in reproductive medicine and fertility preservation. A dedicated social worker also helps patients confront psychosocial challenges, while art, life, and integrative therapies assist in problem solving, reducing stress, and increasing self-esteem.

    “Studies have shown that AYA lymphoma survivors have significant quality-of-life impairments, including physical, cognitive, and emotional difficulties as well as fatigue and financial concerns,” adds Dr. Giulino Roth. “Therefore, it is imperative that providers are keenly aware of both the clinical and emotional impact of a lymphoma diagnosis and treatment in the AYA population and provide appropriate referral for both medical and social/psychological support. Comprehensive, multidisciplinary, and patient-centered AYA clinical care models represent the ideal setting to provide developmentally appropriate care to this population both during cancer treatment and long-term survivorship follow-up.”

    Dr. Giulino Roth’s commitment to helping AYA’s with lymphoma goes beyond the clinic. She recently raised over $12,000 for the Leukemia & Lymphoma Society (LLS) as part of the Mothers in Training (MIT) team. The MIT team has raised over $200,000 to help find blood cancer cures and were awarded an LLS Impact Award for their efforts. Additionally, Dr. Giulino Roth was recently elected as a member of the American Society for Clinical Investigation (ASCI) for 2023. Election into ASCI is a milestone for physician-scientists.

    “It is a tremendous honor to be included in this group of the most established and successful physician-researchers,” says Dr. Giulino Roth. “It puts me and my research team on the map. It signifies that we’re conducting the highest level of science and seeking to advance medicine.”

      Learn More

      Maura F, Ziccheddu B, Xiang JZ, Bhinder B, Rosiene J, Abascal F, Maclachlan KH, Eng KW, Uppal M, He F, Zhang W, Gao Q, Yellapantula VD, Trujillo-Alonso V, Park SI, Oberley MJ, Ruckdeschel E, Lim MS, Wertheim GB, Barth MJ, Horton TM, Derkach A, Kovach AE, Forlenza CJ, Zhang Y, Landgren O, Moskowitz CH, Cesarman E, Imielinski M, Elemento O, Roshal M, and Giulino-Roth L. Molecular Evolution of Classic Hodgkin Lymphoma Revealed Through Whole-Genome Sequencing of Hodgkin and Reed Sternberg Cells. Blood Cancer Discovery. Published online February 1, 2023; 4 (3): 208-227. https://doi.org/10.1158/2643-3230.BCD-22-0128

      Nivolumab in Combination With Chemo-Immunotherapy for the Treatment of Newly Diagnosed Primary Mediastinal B-Cell Lymphoma (ClinicalTrials.gov)

      A Randomized Phase 3 Trial of Nivolumab in Combination with Chemo-immunotherapy for the Treatment of Newly Diagnosed Primary Mediastinal B-cell Lymphoma (Weill Cornell Medicine Joint Clinical Trials Office)

      For more information

      Dr. Lisa Giulino Roth
      Dr. Lisa Giulino Roth
      [email protected]
      Note:

      This is an update of a previous Advances article "Closing the Care Gap: Adolescents and Young Adults with Lymphoma."

      Click here to read the previous article