Neurology and Neurosurgery

Neurological Spine Surgeon Treats Rare Spinal Abscess Complication of Strep Pharyngitis

    In October 2022, Maranda Nyborg, a student and women’s basketball player at Fordham University, arrived at the emergency room at NewYork-Presbyterian Allen Hospital after having streptococcal pharyngitis symptoms for over a week. Instead of improving, she was getting worse and exhibiting troublesome neurological symptoms. Her diagnosis – an extremely rare complication of strep pharyngitis – a spinal epidural abscess (SEA).

    Below, Andrew Chan, MD, a neurological spine surgeon at Och Spine at NewYork-Presbyterian and NewYork-Presbyterian/Columbia who performed surgery on Maranda, discusses the details of this case, which was recently published in World Neurosurgery.

    How did the patient present when she arrived at the emergency room?

    Maranda presented to the emergency room at NewYork-Presbyterian Allen Hospital after experiencing worsening symptoms from strep pharyngitis despite being treated with antibiotics. She exhibited a fever of 38.9 degrees Celsius, cervicothoracic tenderness, and pain localized to her posterior neck that radiated to the left shoulder and anterior left chest. She also had decreased sensation along the medial left arm and fifth digit along with decreased left upper extremity strength.

    What led the emergency department staff to suspect this was more than strep pharyngitis?

    The team of doctors working in the emergency room, including Jason Diamond, MD, MPH, a neurohospitalist at NewYork-Presbyterian Allen Hospital, suspected that Maranda had a spinal epidural abscess (SEA) based on the classic triad of suspicion – a fever, neck pain, and neurologic deficit. Empiric antibiotic therapy was initiated, and an emergent MRI of the spine was performed. The MRI confirmed a T1-postcontrast, peripherally enhancing epidural collection from C3-T5, consistent with a SEA. At that point, Maranda was immediately transferred to my care and the spine surgical service.

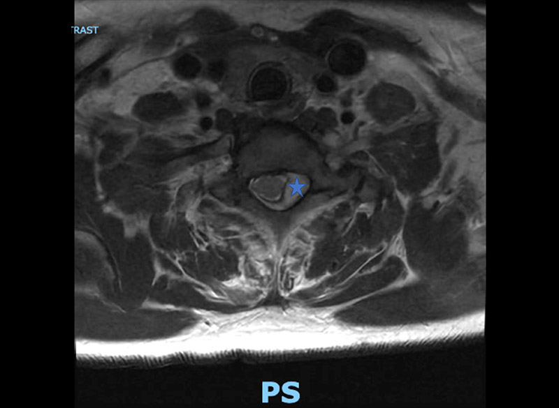
    preop axial mri

    Preop axial MRI at C7-T1, showing infection, marked by the star, pushing spinal cord to the right and causing spinal cord compression.

    Having access to a world-class spine center at NewYork-Presbyterian that constantly deals with the most complex cases in the world enabled our doctors to promptly recognize and diagnose this complication in an expeditious manner.

    How does strep pharyngitis lead to a spinal epidural abscess?

    This is an extremely rare complication of strep pharyngitis, and even rarer in a healthy 20-year-old with no risk factors. However, if you recognize the clinical triad of epidural abscess, get the necessary imaging, and surgically evacuate the infection quickly, it can be successfully treated.

    Strep pharyngitis is caused by a bacterial infection in the throat and tonsils. With the infection, there is a small risk that the normal oral mucosal membranes can break down, and permit bacteria from the infection to enter the bloodstream. In Maranda’s case, we suspected that the oral bacteria translocated from her mouth to the spine via the disrupted mucosal membranes due to her strep pharyngitis.

    How did you treat the SEA?

    Time is of the essence when it comes to treating an SEA. We know that once you have some of the initial symptoms of fever and neck pain along with a neurologic deficit (i.e., weakness or numbness), the infection can progress quickly, typically within 24-48 hours of getting worsening neurologic deficit. Without control of the infection, the patient can become paralyzed from a SEA. Thus, we needed to act swiftly.

    Maranda’s infection extended from the high neck to the mid back. To treat an extensive infection, some surgeons would remove all the bone behind the spinal cord to evacuate the abscess in a procedure known as a laminectomy. However, by doing this, you lose the posterior tension band in the back. This leads to a loss of biomechanical strength and can cause kyphosis (a forward lean of the neck) over time. Thus, I performed a surgery that preserved as much of the posterior tension band as possible. We went into surgery late in the evening and performed skip hemilaminectomies for evacuation of the SEA. I was assisted during the surgery by Andrew Platt, MD, a neurological spine surgery fellow at NewYork-Presbyterian/Columbia.

    We began the surgery by making a midline incision, exposing the posterior spine from C6 to T2. During exposure of T2, there was copious purulence already visualized in the spinal musculature. I then performed skip hemilaminectomies, preserving the tension band at C7-T1. This left her with as much stability as possible and helped to mitigate the risk of progression of leaning forward of her head (i.e. kyphosis) over time.

    The surgery was extremely successful, and she regained full strength and sensation postoperatively. Cultures taken during surgery revealed Fusobacterium necrophorum, an oral anaerobe that likely translocated into the bloodstream due to an altered mucosal barrier secondary to strep. This confirmed that the spinal abscess was secondary to her original strep pharyngitis diagnosis. After surgery, our Infectious Disease doctors prescribed a 6-week course of antibiotics for Maranda.

    Postop axial mri

    Postop axial MRI at C7-T1 showing no more infection and symmetric CSF space around the spinal cord, which has reassumed its oval shape now that it’s no longer compressed.

    It’s been a year since Maranda underwent surgery. How is she doing now?

    She’s doing great and back to playing basketball. I gave her a gradual return to activity because we knew she was going to have to redshirt the remainder of last season. We got her back to the gym at three months, got her back to basketball activities at six months, and full contact at nine months. Now, she’s ready to play this season at Fordham.

    Having access to a world-class spine center at NewYork-Presbyterian that constantly deals with the most complex cases in the world enabled our doctors to promptly recognize and diagnose this complication in an expeditious manner.

    — Dr. Andrew Chan

    What was your main takeaway from this case?

    All providers should keep a high index of suspicion for SEA in patients with fever, neck or back pain, and a new neurologic deficit, like weakness and numbness. Classically, SEA affect patients with an immunocompromised state (such as those on chronic steroids or with diabetes) or in patients who engage in high-risk behaviors, like intravenous drug use. However, even healthy patients like Maranda can get an epidural abscess, and acting in a timely manner is important to spare neurologic function.

      Learn More

      Greenwald P, Chan AK. Spinal Epidural Abscess and Strep Pharyngitis. World Neurosurgery. Published online September 1, 2023. doi:10.1016/j.wneu.2023.09.033

      For more information

      image of Dr. Andrew Chan
      Dr. Andrew Chan
      [email protected]