Pediatric specialists at Children’s Hospital of New York at NewYork-Presbyterian are among the most experienced in the nation, providing children and adolescents with access to innovative treatments and unmatched clinical expertise. In 2025, experts from Columbia and Weill Cornell Medicine performed milestone surgeries to treat rare and life-threatening diseases; published research to provide clinical insights into conditions ranging from severe aplastic anemia to adolescent depression; leveraged genomics and gene therapy to address congenital disorders, and more. Our specialists are devoted to pushing the boundaries of medicine to ensure children receive the most advanced care and the best possible outcomes.
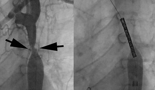
At the Children's Hospital of New York, our pediatric cardiologists, interventional cardiologists, and cardiovascular surgeons from Columbia and Weill Cornell Medicine collaborate seamlessly to manage every form of heart disease in infants and children. Our teams work tirelessly to provide treatments for the most complex heart diseases with the latest imaging technologies, medical therapies, and surgical, transcatheter and hybrid procedures.
Pediatric Cardiology (Heart)
Featured Updates
The patient’s severe thrombosis required months of multidisciplinary care and the transplantation of his liver, stomach, large intestine, small intestine, pancreas, and kidney.
The Latest











