Pancreas Program

Pancreatic Cancer

The pancreas is an organ located behind the stomach. It secretes juices to help digest food, and produces hormones (such as insulin and glucagon) to regulate blood sugar levels.

Statistics show that pancreatic cancer is the 10th most common cancer diagnosed among men in America and the 9th most common in women, but the fourth leading cause of cancer death overall. That's because it has often grown to an advanced stage and spread to other organs by the time it is diagnosed, and it is challenging to treat successfully. Each November, Pancreatic Cancer Awareness Month reminds us why attention to this disease is so important, why it is critical to prevent it or diagnose it early, and why support for research is vital to help find a cure and raise the pancreatic cancer survival rate.

The diagnosis and treatment of pancreatic cancer is best handled by a multidisciplinary team of specialists with expertise in diagnosing and treating this disease and relieving patients' symptoms. This is the approach taken by experts in the Pancreas Program at the Center for Advanced Digestive Care of NewYork-Presbyterian/Weill Cornell Medical Center. Our team is also conducting clinical trials of promising new therapies to improve pancreatic cancer prognosis.

Pancreatic Cancer Risk Factors

Several factors have been shown to raise the risk of pancreatic cancer. Some can be modified, while others cannot. Doctors are trying to use this knowledge to devise pancreatic cancer prevention strategies — such as living a healthy lifestyle — and to determine if certain patients at increased risk for the disease may benefit from early-detection approaches.

Risk factors that can be modified include smoking and obesity. Risk factors that cannot be changed include family history of pancreatic cancer, older age (over 50), chronic or hereditary pancreatitis (inflammation of the pancreas), and recent-onset diabetes.

Symptoms of Pancreatic Cancer

When located in the tail or body of the pancreas, symptoms of pancreatic cancer may include abdominal pain. When located in the pancreatic head, patients may experience jaundice, nausea, vomiting, weight loss, itchy skin, and abdominal pain.

Sometimes, pancreatic cancer is not detectable by external symptoms in early stages. For this reason, it is important for your doctor to take a detailed family history to assess your risk, and provide genetic screening if the family history suggests a possibility of increased risk.

Pancreatic Cancer Diagnosis and Staging

There is no blood test for pancreatic cancer. Initial tests may include CT scanning and magnetic resonance imaging (MRI). The following diagnostic tests may be performed by our team

Confocal endomicroscopy: The CADC is the only center in the country to offer confocal endomicroscopy of the pancreas, which can aid in the detection and staging of pancreatic cancer. A small microscope is used to analyze cells to determine if they are normal or precancerous. Cancerous tissue may be immediately removed through the endoscope for further examination.

Endoscopic ultrasound (EUS): EUS involves the use of a special endoscope with high-energy sound waves ("echoendoscope") to visualize the digestive tract and nearby organs. It is particularly useful for evaluating the pancreas and is often used for fine-needle aspiration and biopsy.

SPYGLASS: This new technology provides a direct view of the bile duct system, enabling doctors to visualize lesions and narrowed areas (strictures) in the ducts and to biopsy them to determine if they are cancerous. This approach ensures highly accurate sampling of the area in question. It is an excellent tool to use with confocal endomicroscopy.

Endoscopic retrograde cholangiopancreatography (ERCP): A procedure which combines x-rays and the use of an endoscope and may be used to obtain a tissue sample.

Pancreatoscopy: Use of a small camera to visualize the pancreatic duct.

Pancreatic Cancer Treatment

When pancreatic cancer is suspected or diagnosed, patients benefit most from the care

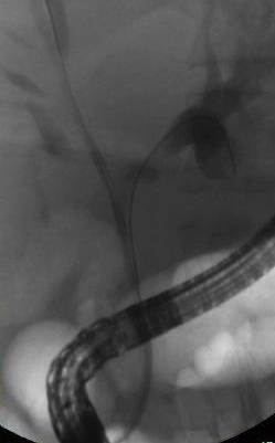
Pancreatic Stent
Radiofrequency ablation is used to treat some pancreatic cancers

provided by specialists at academic medical centers such as NewYork-Presbyterian/Weill Cornell Medical Center. Our services include the latest advanced endoscopic techniques, surgery, chemotherapy, and radiation therapy. Treatment is tailored to the type of cancer, size of tumor and other

Others may benefit from yearly follow-up appointments. The recommended care plan is determined by symptoms and the type, location and size of the lesion. For instance, when imaging shows a suspicious lesion that may suggest pancreatic adenocarcinoma, a care team may recommend surgery. Tumors in difficult spaces including near important blood vessels may receive chemotherapy or radiation, sometimes in combination with other treatments.

Surgery

Patients who are eligible for surgery may undergo the Whipple procedure (removal of the head of the pancreas, part of the small intestine, the gall bladder, part of the stomach, and lymph nodes near the head of the pancreas). This complex surgery is best handled by a team with extensive experience. Our surgeons perform a large volume of procedures using the Whipple approach.

Our specialists work to schedule surgeries as soon as possible after diagnosis, and can may opt to combine surgery with other therapies due to the placement and size of the tumor.

Minimally Invasive Therapies

ERCP allows the physician not only to diagnose, but also to treat abnormalities in the bile ducts and pancreas. Using ERCP, the doctor can open up blocked ducts, perform complex biliary drainage, and remove tissue to be biopsied. ERCP can be used to treat pancreatic cancer by combining it with:

  • Radiofrequency ablation, which uses high-energy radio waves to treat inoperable pancreatic cancer. This palliative therapy is useful for prolonging quality of life in patients who have few other treatment options.
  • Insertion of a stent to open a narrowed bile duct and improve quality of life in patients with advanced disease. This procedure must be performed by an advanced interventional endoscopist proficient in using this approach.

Our doctors also perform celiac plexus neurolysis to relieve abdominal pain and insert duodenal stents to treat obstructions.

Chemotherapy And Radiation Therapy

In some patients, surgery is not possible because the cancer has grown around vital structures, such as blood vessels. These patients may benefit from chemotherapy and/or radiation therapy. Some patients receive these treatments after surgery to delay or reduce the risk of cancer recurrence. These therapies are available at NYP/Weill Cornell.

Clinical Trials

Progress against pancreatic cancer can only come about through intensified research efforts to better understand the disease and clinical trials to evaluate new pancreatic cancer treatments. Patients who are treated at the Center for Advanced Digestive Care may be offered opportunities to participate in clinical trials of novel approaches.

Resources

The CADC provides information for patients about outside non-profit organizations that support patients with pancreatic cancer and research initiatives to improve outcomes for this difficult diagnosis. Some of these organizations are listed below:

To schedule an appointment, call the Center for Advanced Digestive Care at